Back To Back Class II Composite Restoration Step By Step.
.
.
1. Always start with a pre-operative occlusal record showing contact points for occlusal analysis.
2. Pre-wedging for gingival retraction and teeth separation.
3. Deep margin acquisition using thermacut bur to expose the deep margin and facilitate rubber dam application.
4. Rubber dam isolation and additional teflon application for lateral displacement of the sheet and secure proper isolation.
5. Deep margin extension matrix in matrix technique.
6. Re-evaluation of the elevated margin
7. Matrix system application, 2 matrices at the same time for better space distribution.
8. Fast modeling technique to re-create occlusal anatomy.
9. Finishing and polishing after occlusal adjustments.
10. Follow-up.
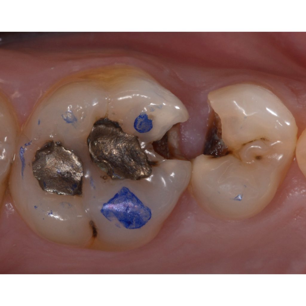
Pre-operative situation
Pre-operative occlusal record
Pre-wedging
Deep margin acquisition
Isolation
Matrix in matrix technique
Deep Margin Elevation using snow blow technique
Re-evaluation and adjustment of the elevated margin
Space distribution
Matrix-Ring-wedge assembly
Proximal wall build-up of the premolar
Fast Modeling Technique
First band removed
Proximal wall build-up
Fast Modeling Technique
Finishing
Immediately Post-operative
Follow-up
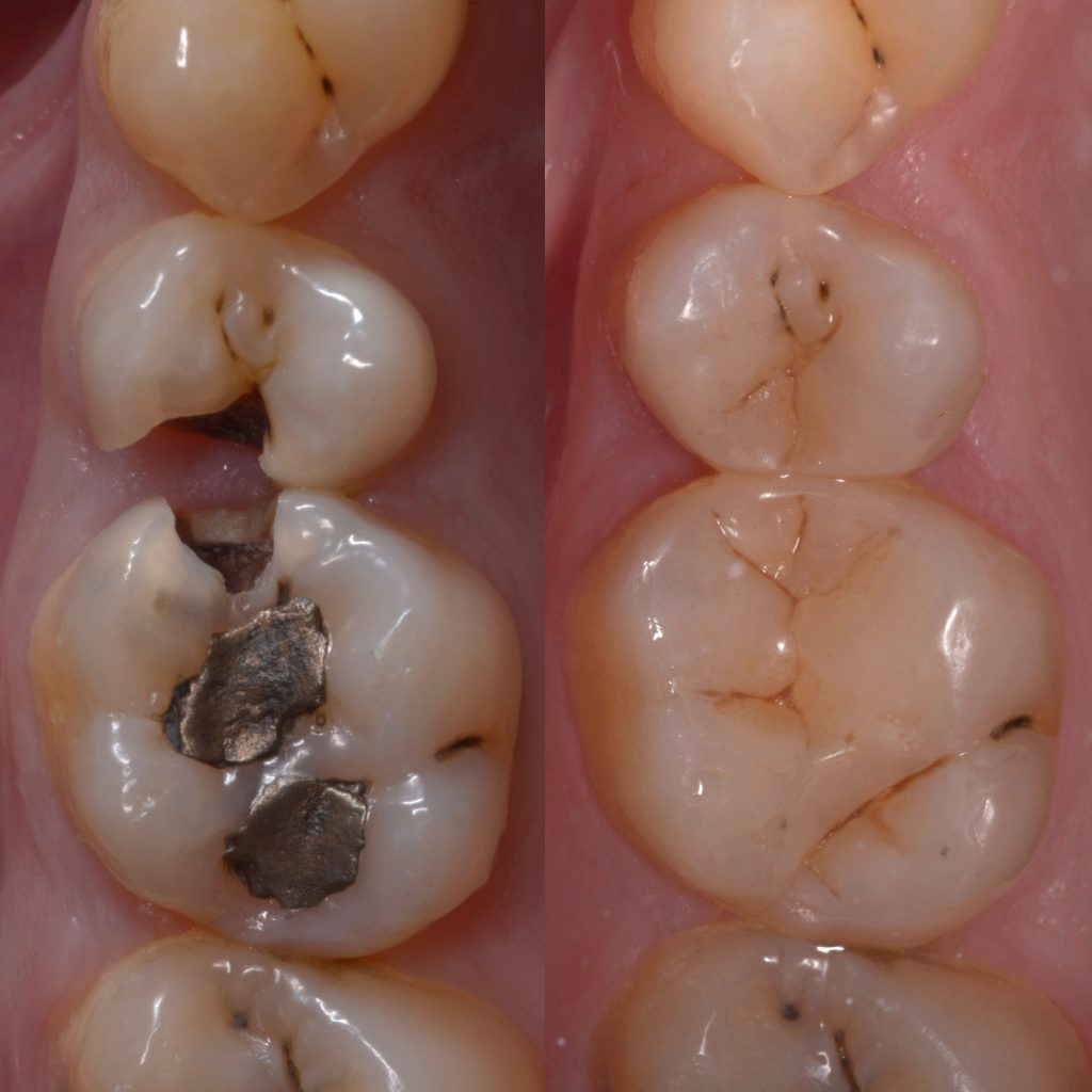
Before and after
Share on: