Introduction: Dental crowding is a frequent condition after an orthodontic treatment and one of the causes is the non-use or wrong use of the retainer in a post orthodontic treatment. However, the teeth could move due to other external causes as bruxism, lingual interposition, among others. Objective: Do an orthodontic treatment to an adult with anterior crowding diagnose using invisible bracketless lingual orthodontics technique. Description of the case: The patient wanted to align her anterior lower teeth so it was installed a Niti wire directly to the lingual surface of the teeth. Conclusion: the results were achieved in 4 weeks of treatment and then a permanent retainer was installed.
ABSTRACT:
Dental crowding is a common condition and the causes varies from genetically predetermined mal occlusions to external factors as bad habbits or bruxism, and in result, it can cause the teeth movement. One of the most common factors of anterior crowding before an orthodontic treatment is the non-use or incorrect use of an orthodontic retainer. When a patient has received an orthodontic treatment have to use the retainer no less than 2 years in order to restore the bone structure and to allow the neuromuscular system adapts to the new position of teeth. However, once this 2-year period has ended and after removing the retainer, the teeth could move due to other factors as bruxism, lingual interposition, way of talking, position of the tongue or any other cause that affects the neuromuscular balance between the tongue and lips, which are muscles that determine the position of anterior teeth.
By the exposed before, this article has the objective to describe the orthodontic treatment using bracketless lingual orthodontics technique and the evolution of a patient with anterior teeth crowding.
KEYWORDS: invisible Orthodontics, bracketless, lingual
CASE REPORT (In Spanish):
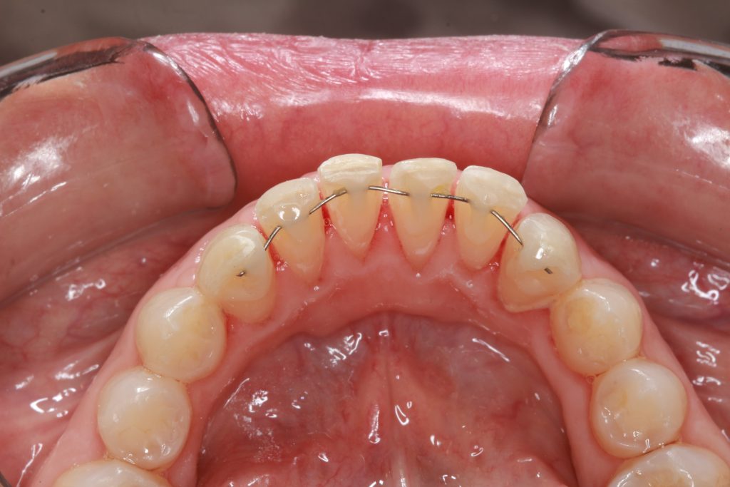
Paciente de sexo femenino de 40 años procedente de la ciudad de Lima, Perú. El motivo de la consulta fue el apiñamiento antero-inferior posterior a un tratamiento de ortodoncia con brackets. El paciente refiere que usó el mantenedor correctamente por varios años y que después estuvo con los dientes alineados por muchos años. Sin embargo, en los últimos dos años comenzó a observar que se le empezaron a mover los dientes (Fig.1) y solicitó que solucionemos el problema sin usar nuevamente brackets.
Este caso era ideal para resolverlo con la técnica de ortodoncia lingual invisible sin brackets. Se le mencionó a la paciente que su tratamiento iba a durar 6 meses; sin embargo, al final se lograron los objetivos en sólo un mes.
Los 4 incisivos inferiores los tenía ligeramente vestibularizados y apiñados para lo cual se procedió a realizar la técnica de stripping en los espacios interproximales entre canino y canino y luego se instaló el alambre de niti 014 desde la pieza 3.3 hasta la pieza 4.3 pegado con resina directamente sobre el esmalte de la cara lingual del diente.
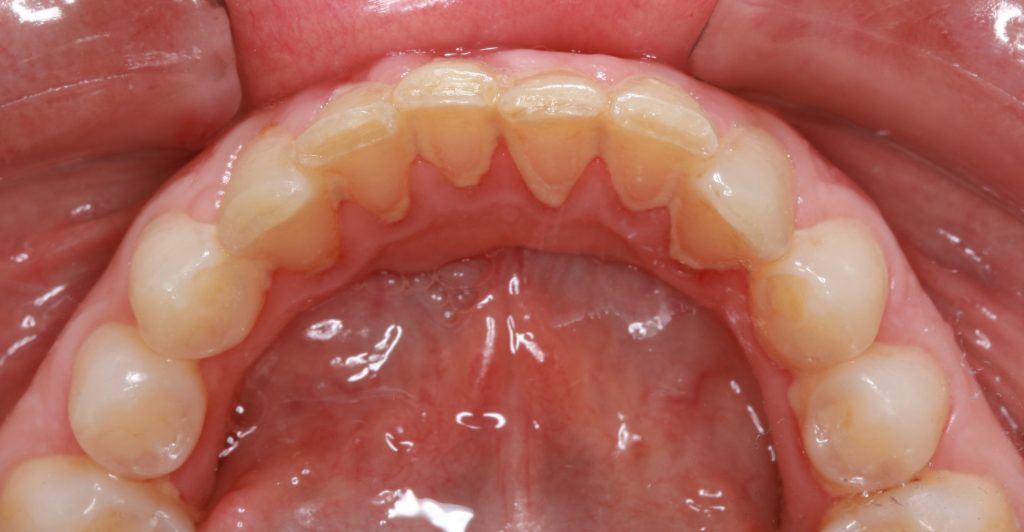
En el primer control que fue a los 15 días se evaluó si los dientes tenían el espacio suficiente para alinearse y se pudo apreciar un notorio avance en el alineamiento (Fig.2). El segundo control (Fig.3) se dio a los 6 días y en él, se realizó con una lija metálica un ligero stripping en los puntos donde había mucha presión interproximal. Finalmente, se le dió una cita a la semana para colocar el mantenedor fijo. (Fig.4). El tratamiento duró 1 mes debido a que el apiñamiento era leve.
Paciente de sexo femenino de 40 años procedente de la ciudad de Lima, Perú. El motivo de la consulta fue el apiñamiento antero-inferior posterior a un tratamiento de ortodoncia con brackets. El paciente refiere que usó el mantenedor correctamente por varios años y que después estuvo con los dientes alineados por muchos años. Sin embargo, en los últimos dos años comenzó a observar que se le empezaron a mover los dientes (Fig.1) y solicitó que solucionemos el problema sin usar nuevamente brackets.
Este caso era ideal para resolverlo con la técnica de ortodoncia lingual invisible sin brackets. Se le mencionó a la paciente que su tratamiento iba a durar 6 meses; sin embargo, al final se lograron los objetivos en sólo un mes.
Los 4 incisivos inferiores los tenía ligeramente vestibularizados y apiñados para lo cual se procedió a realizar la técnica de stripping en los espacios interproximales entre canino y canino y luego se instaló el alambre de niti 014 desde la pieza 3.3 hasta la pieza 4.3 pegado con resina directamente sobre el esmalte de la cara lingual del diente.
En el primer control que fue a los 15 días se evaluó si los dientes tenían el espacio suficiente para alinearse y se pudo apreciar un notorio avance en el alineamiento (Fig.2). El segundo control (Fig.3) se dio a los 6 días y en él, se realizó con una lija metálica un ligero stripping en los puntos donde había mucha presión interproximal. Finalmente, se le dió una cita a la semana para colocar el mantenedor fijo. (Fig.4). El tratamiento duró 1 mes debido a que el apiñamiento era leve.
CONCLUSION (In Spanish):
La técnica de ortodoncia lingual sin brackets es ideal para este tipo de casos donde los pacientes no quieren volver a usar brackets y presentan apiñamientos leves a moderados. Además, esta técnica tiene la gran ventaja que no se necesita colaboración del paciente a diferencia de los alineadores transparentes que son removibles y requieren de mucha colaboración.
REFERENCIAS BIBLIOGRÁFICAS:
Abdulraheem, Salem; Schütz-Fransson, Ulrike; Bjerklin, Krister. Teeth movement 12 years after orthodontic treatment with and without retainer: relapse or usual changes? European Journal of Orthodontics, 2020, 52–59. doi:10.1093/ejo/cjz020
Lapenaite, Egle; Lopatiene, Kristina. Interproximal enamel reduction as a part of orthodontic treatment. 2014; 16:19-24
Rossouw PE, Tortorella A. Enamel reduction procedures in orthodontic treatment. JCDA Orthodontics Issue. 2003 Jun; p.378–383
Previo al inicio de tratamiento
Primer control (a los 15 días)
Segundo control (a los 6 días del 1er control)
Tercer control- Final (1 semana después)
Share on: