Hi this is my first full mouth rehabilitation case as graduation project .
In this case , I start extra-oral analysis to determine ricketts angle plane for maxillary anterior crowns protrusion to overcome crossbite.
Then, I go for establish first step in treatment plan strating with:
Serial extraction for hopeless teeth no 18,15..24,25,28 also, teeth no 37,44
Surpa/ sub- gingival scalling
Next visit curettage to eliminating pockets lining epithelium and periodontal pack was placed to promote healing process ( removed after 10 days and measuring probing depth again for re-evaluation)
Oral instructions and hygiene measures were prescribed for patient
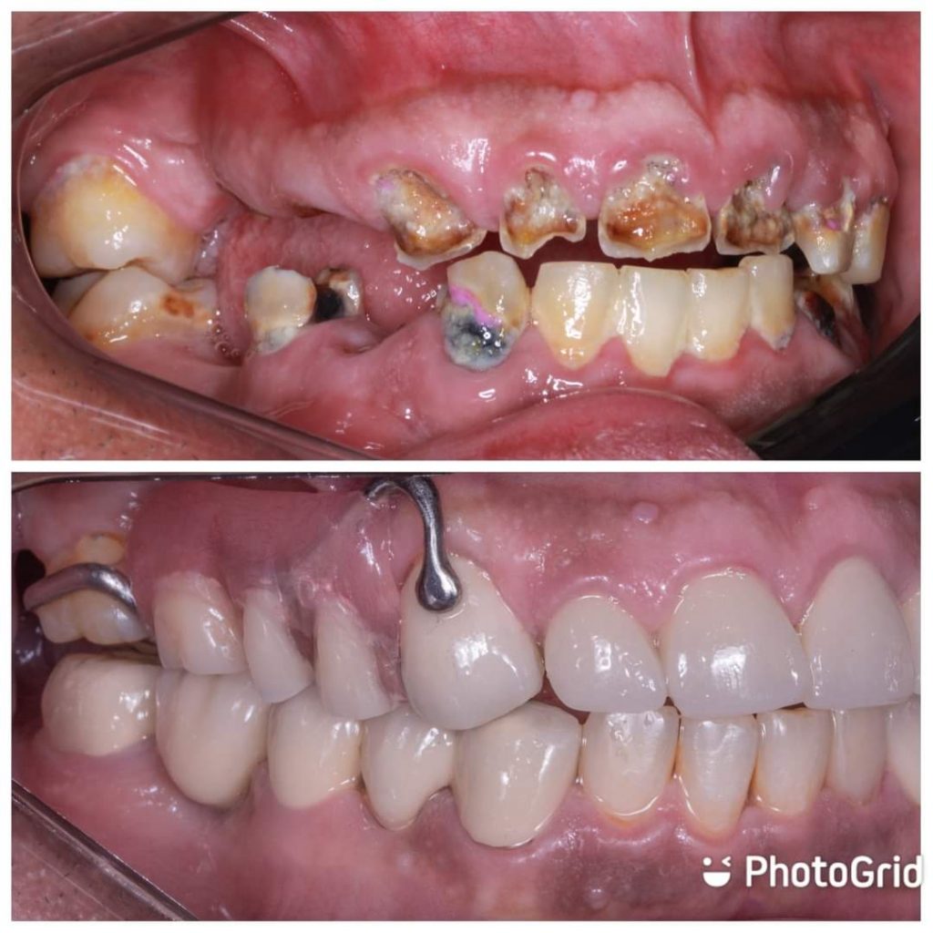
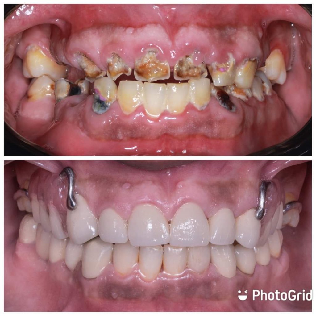
Excavation for all caries lesion to stop carious process .
After, proper diagnosis,radiographic and clinical examination , endodontic treatment was done for teeth no 13,12,11..21,22 also, teeth no 33, 34,36
Then, fiber posts and composite cores were performed to badly destructed teeth
Teeth no 43,45,47 had received indirect pulp capping using (theracal) followed by composite restorations
Impressions were done also, Wax Bite registration then pouring casts for wax up
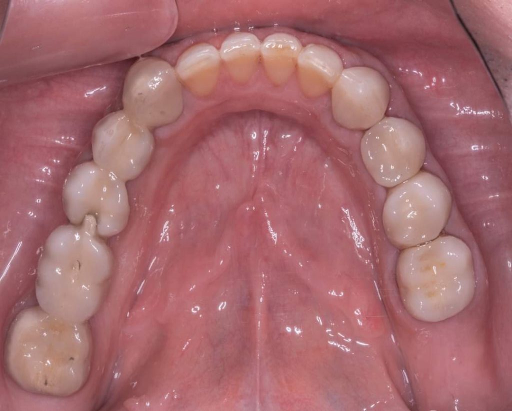
PFM crowns on 13,12,11,21,22,23,33,34,35,36
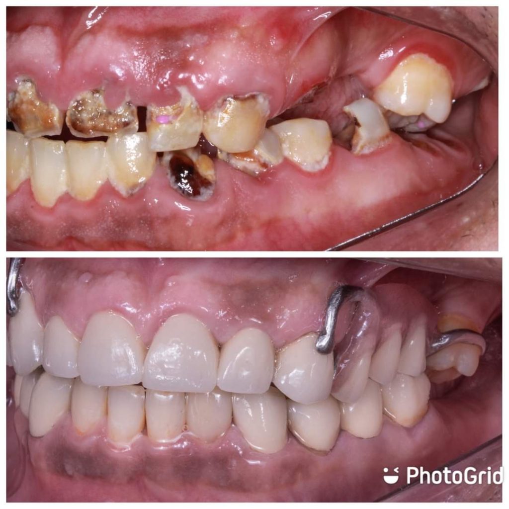
PFM bridge on 43,45,47
Tooth 45 used as extra-coronal pier abutment in long span PFM bridge (stress breaking action )
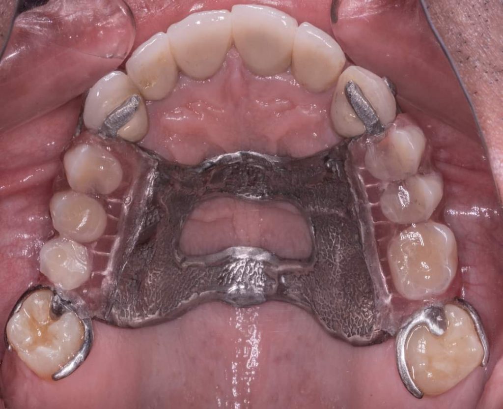
Metallic RPD done on surveyed crowns no.13,17… 23,27
Aker claps on 17,27
Cingulum rest seat and RPI clasp on surveyed crowns
maintenance phase
Re-evaluation of patient oral hygiene after 4 months
Thank you
Share on: