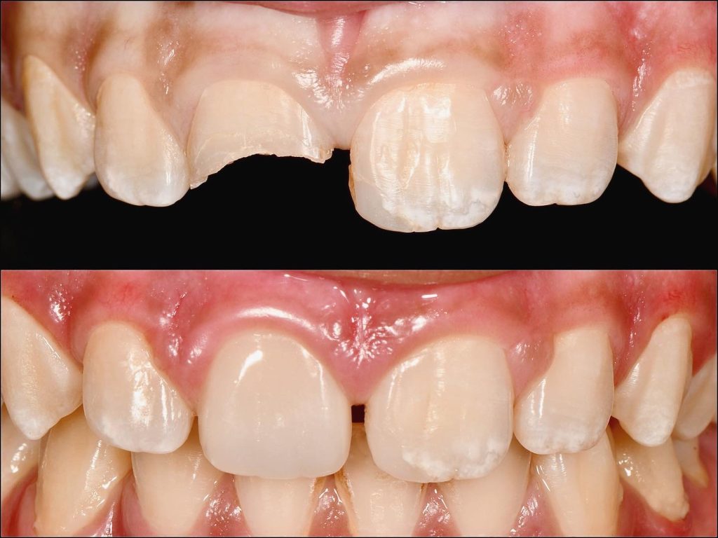
10 years old child, visited us with parents, he was fallen in school and traumatised in his upper central incisor.
there are no signs or symptoms, but looking for esthetic in his smile.
After examining the case, the tooth was vital and there no any changes in x ray .
so we treated this incisor with direct composite restoration.
rubber dam isolation, ribbond used to support the remaining tooth , palatal shell built with free hand and layering composite was done
Se clearfil bond was used.
finishing and polishing in the same visit
follow up after 3 months
Share on: