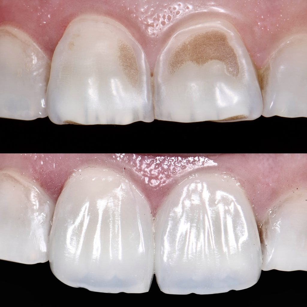
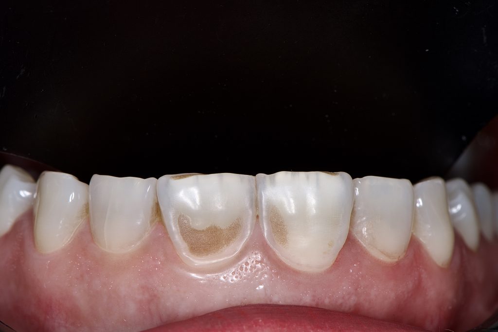
26 years old female patient came to our clinic,looking for esthetic in upper central incisors
the patient was highly consuming of lemon in the past
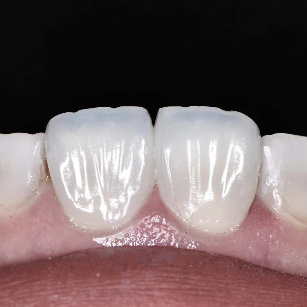
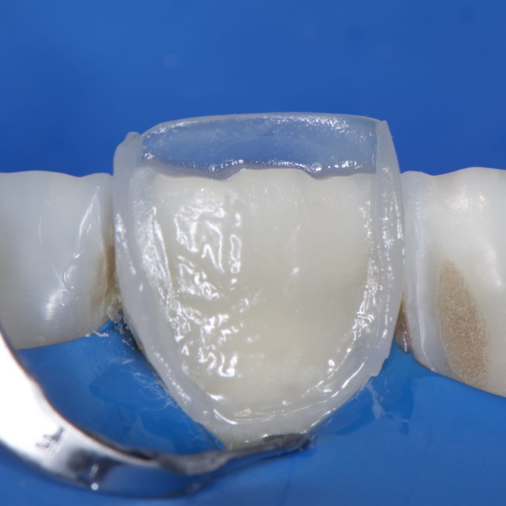
after taking history, shade selection, rubber dam placement,
direct composite restoration with layering technique
finishing and polishing in another visit
Share on: