21 years old male patient, with no history of symptoms, looking for aesthetic in upper anterior teeth.
As seen, these carious cavities are large and dark coloured, very hard texture, indicating arrested,partially remineralised caries.
After complete caries removal, the pulp horn of lateral incisor exposed, so vital pulp therapy has been done.
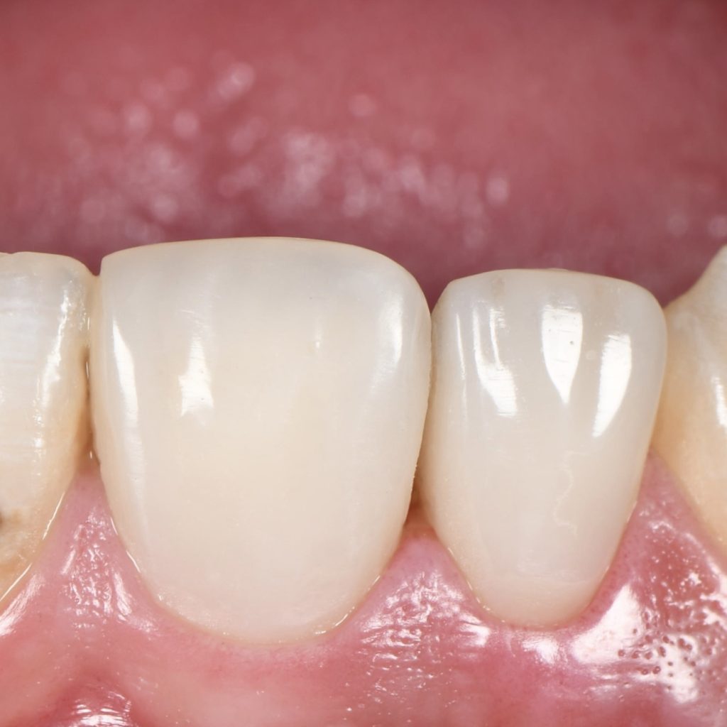
Direct composite restoration, finishing and polishing in single visit .
1 month follow up
Share on: