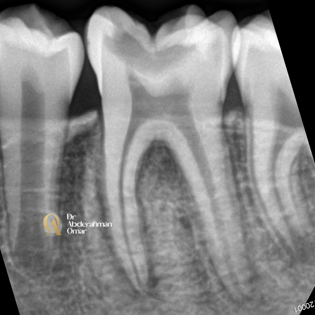
Today’s case involves a 13-year-old patient presenting with symptomatic irreversible pulpitis in the mandibular left first molar. Clinical examination revealed deep caries with positive tenderness to percussion and thermal sensitivity.
Upon access cavity preparation, careful exploration under magnification confirmed an atypical and complex canal anatomy: 5 distinct canals — 3 mesial canals (MB, MM, ML) and a Type III distal canal configuration (1 orifice dividing into 2 canals).
Treatment steps included:
• Rubber dam isolation
• Conservative access cavity preparation
• Identification of all canals under magnification
• Working length determination with electronic apex locator and radiographic confirmation
• mechanical preparation using rotary NiTi instrumentation
• Irrigation protocol with 5.25% NaOCl and 17% EDTA
• Obturation using cold lateral compaction technique with gutta-percha and bioceramic sealer
• Permanent composite resin restoration to ensure coronal seal
Post-operative radiograph confirmed optimal length, fill density, and canal obturation in all five canals.
Share on: