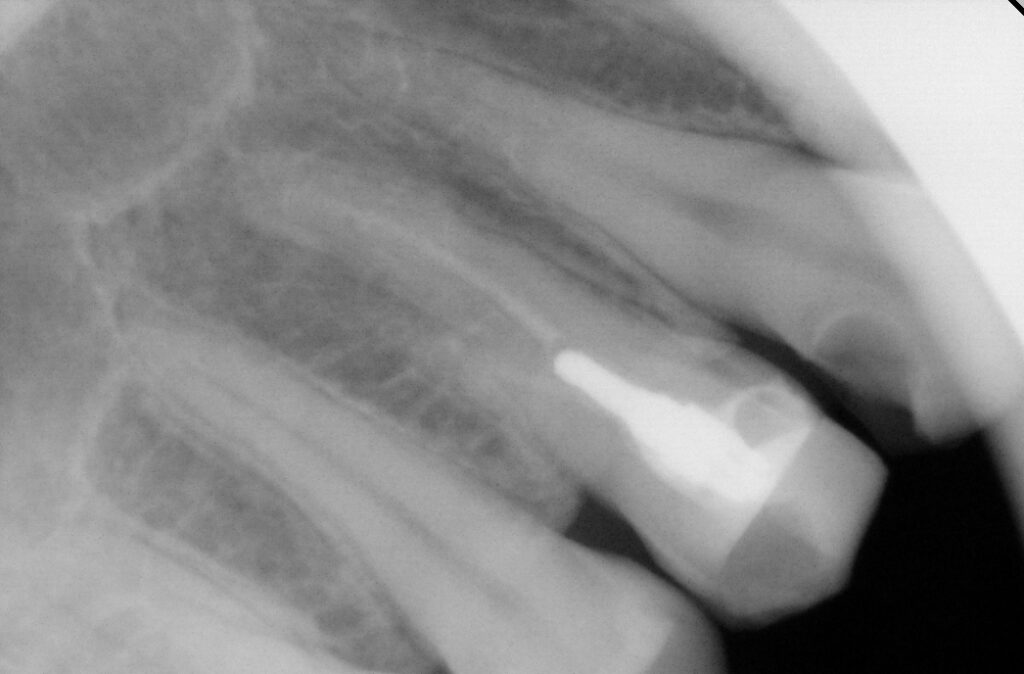
Retreatment of the root canals with removal of a titanium post
The first stage involved removal of the titanium post using two ultrasonic tips (applied from opposite sides of the tooth with water irrigation).
Next, de-obturation of the root canal system was performed, followed by negotiation of two previously missed sclerosed root canals using the Nick system and 5.25% sodium hypochlorite (a total of 25 ml of solution was used – 5 syringes of 5 ml each).
The total time for root canal retreatment was 1 hour and 30 minutes.
The second visit was dedicated to replacement of the old restoration and placement of a fiberglass post (EverX Dentin Shade was used), followed by restoration with Asteria A1B+, NeoSpectrum A2, and Enamel Brown stain.
The total time for restoration replacement was 1 hour and 30 minutes.
Share on: