Age: 27 years
Chief Complaint:
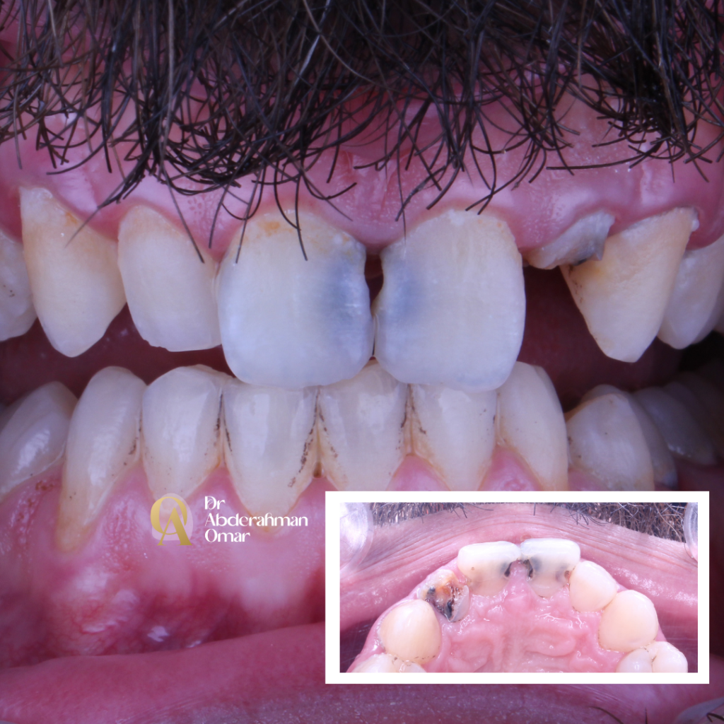
The patient reported acute, sharp, spontaneous pain originating from the maxillary central incisors, along with dissatisfaction with the shape and overall esthetics of his smile.
Clinical Examination Findings:
• Maxillary Central Incisors: Diagnosed with acute irreversible pulpitis.
• Maxillary Left Lateral Incisor: Found to be non-vital (necrotic).
• Maxillary Right Lateral Incisor: Exhibited a small Class III carious lesion on the mesial surface.
• Maxillary Left Canine: Exhibited a small Class III carious lesion on the mesial surface.
Treatment Provided:
1. Restorative Phase:
• Class III composite restorations were performed on the mesial surfaces of the maxillary right lateral incisor and the left canine.
2. Endodontic Phase:
• Root canal treatment (RCT) was completed for the maxillary central incisors and the left lateral incisor.
• Fiber posts were placed following RCT, and composite core build-ups were performed to restore coronal structure.
3. Prosthetic Phase:
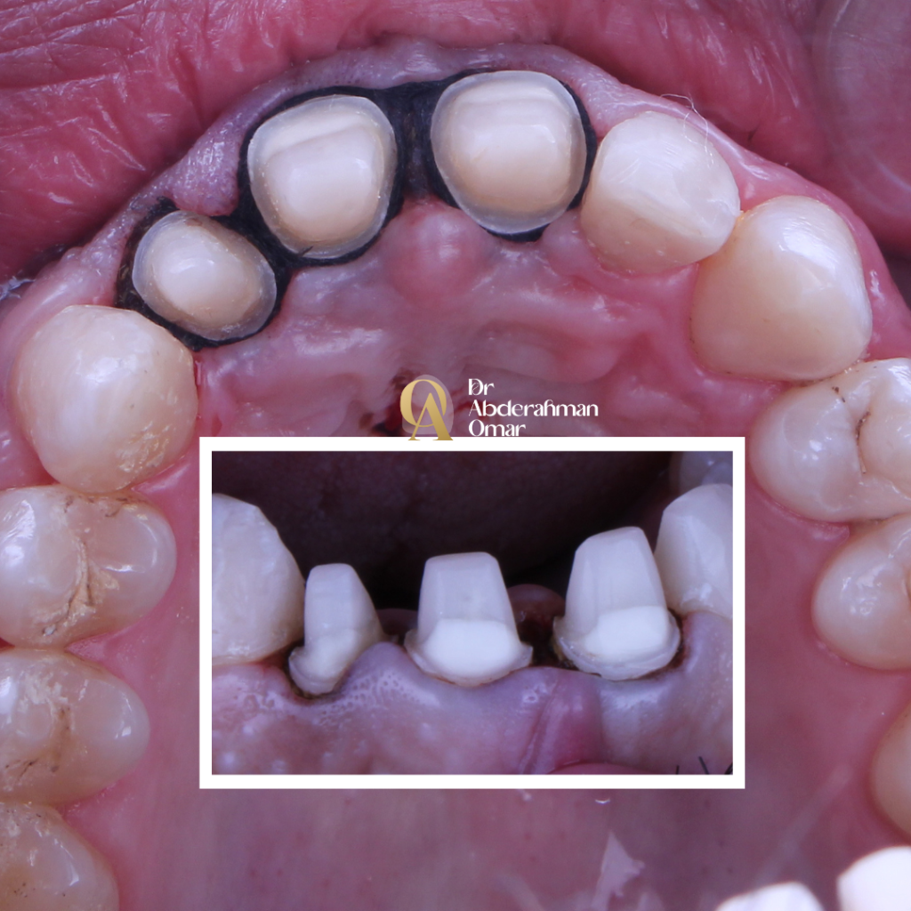
• Horizontal crown preparation was carried out on the maxillary central incisors and the left lateral incisor.
• A facially-driven Digital Smile Design (DSD) protocol was implemented during treatment planning to enhance esthetic outcomes and ensure harmony with the patient’s facial features.
• Three ceramic crowns were fabricated and cemented on the prepared teeth, with careful attention to occlusion and esthetics.
Outcome:
The final restorations restored function, eliminated pain, and significantly improved the esthetic appearance of the patient’s smile in alignment with their initial concerns and expectations.
Share on: