Precision Endodontics and Biomimetic Restorative Rehabilitation Using Deep Marginal Elevation and Matrix-Within-Matrix Technique
Abstract (≈480 characters)
This case highlights the integration of microscope-assisted endodontics with biomimetic restorative principles. Deep caries and subgingival margins were managed through the Deep Marginal Elevation (DME) technique using a Matrix-within-Matrix system, followed by fiber-reinforced and nano-hybrid composite layering for cuspal coverage. The result demonstrates functional durability, marginal integrity, and seamless esthetics under strict rubber dam isolation.
Author
Dr. Hamza Zahid, BDS
Microscopic Restorative & Cosmetic Dentist
CEO – Dr. Hamza Dental Center, Lahore, Pakistan
Focus Areas: Micro-endodontics, Biomimetic Dentistry, Adhesive Restorations, Digital Esthetics
Case Presentation
Initial Situation
The patient presented with pain and recurrent caries in posterior teeth with previous restorations and marginal leakage. Radiographic evaluation confirmed irreversible pulpitis with carious involvement extending subgingivally.
Clinical Workflow
1. Rubber Dam Isolation and Access Refinement
Rubber dam isolation ensured aseptic field control. Access cavities were refined under the dental operating microscope (DOM) to maintain pericervical dentin integrity. (See Fig. 1–2)
2. Canal Preparation and Disinfection
Negotiation was achieved with stainless steel hand files, followed by rotary NiTi instrumentation. Irrigation protocol included 5.25% NaOCl and 17% EDTA with sonic activation for complete smear-layer removal. (Fig. 3–4)
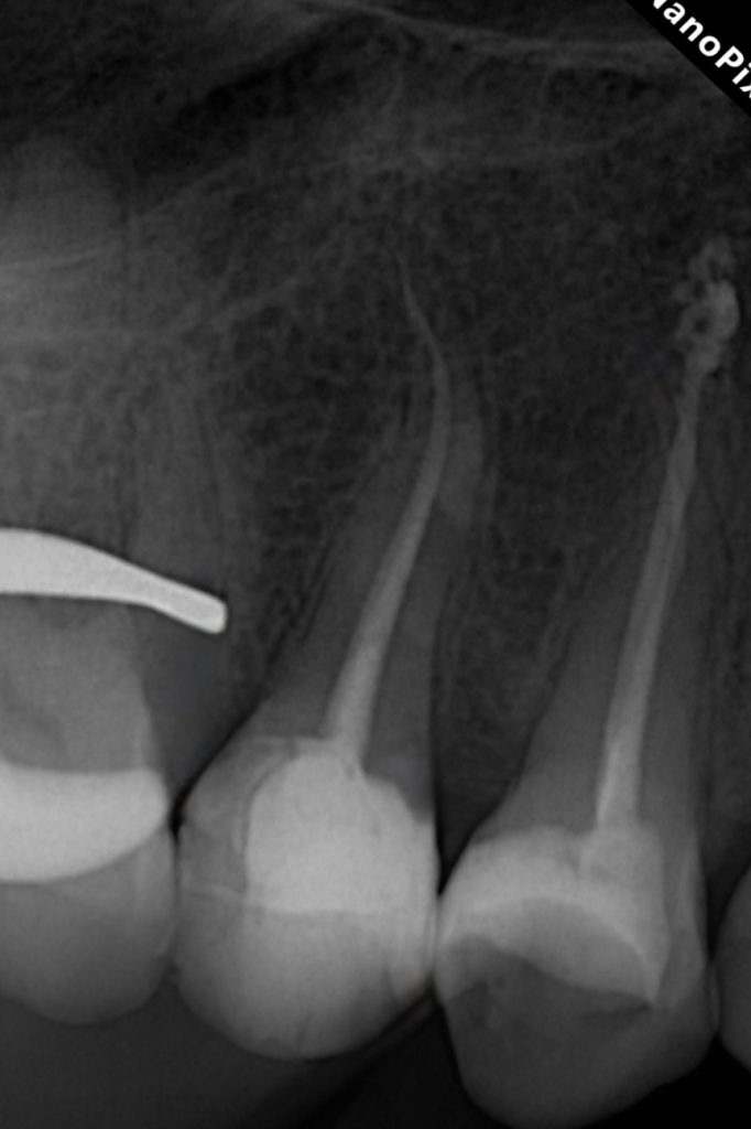
3. Three-Dimensional Obturation
Canals were obturated using a bioceramic sealer and warm vertical compaction technique, confirming dense fill and apical seal. Post-operative radiograph verified optimal obturation and periapical healing potential. (Fig. 7)
4. Deep Marginal Elevation (DME)
The subgingival proximal margins were relocated to supragingival levels using the Matrix-within-Matrix technique for precision control.
- A sectional matrix was placed and stabilized using separation rings.
- A secondary Mylar matrix was layered internally to confine the deep proximal area.
- Selective enamel etching was followed by universal adhesive application.
- Flowable composite (Tokuyama Estelite Flow Quick) was incrementally placed to elevate the margin. (Fig. 4–5)
5. Biomimetic Cuspal Coverage Build-up
The internal base was reinforced using GC EverX Posterior (fiber-reinforced bulk composite) to mimic dentin behavior.
- Layering continued with Tokuyama Estelite Sigma Quick nano-hybrid composite in oblique increments.
- Each increment was light-cured with glycerin gel barrier to eliminate oxygen inhibition.
- Occlusal anatomy was sculpted with fine instruments under microscope visualization. (Fig. 6–8)
6. Finishing and Polishing
After polymerization, margins were refined using fine diamond burs and silicone polishers (Dentsply Enhance & PoGo). Final gloss was achieved, blending the restoration with natural enamel surface texture. (Fig. 9–10)
Final Outcome
- Radiographically: Dense obturation with intact lamina dura and proper apical seal.
- Clinically: Ideal proximal adaptation, smooth transition of DME margin, and esthetic occlusal anatomy.
- Functionally: Patient reported comfort, restored function, and esthetic satisfaction.
Discussion
This case demonstrates the synergy between microscope endodontics and adhesive restorative dentistry. The Deep Marginal Elevation technique transformed an otherwise non-ideal subgingival situation into a predictable adhesive field. The Matrix-within-Matrix approach allowed precise contour control and prevented overhangs. The use of fiber-reinforced base improved fracture resistance and biomimetic stress distribution.
Long-term success of endodontically treated teeth relies on both apical sealing and coronal reinforcement — principles achieved through this comprehensive workflow.
Conclusion
Microscope-assisted endodontic and restorative integration ensures precision, conservation, and longevity. By combining DME, Matrix-within-Matrix adaptation, and biomimetic composite layering, clinicians can achieve natural form, function, and durability while maintaining conservative principles.
Image Captions
Fig. 1–2: Initial access and canal visibility under microscope isolation.
Fig. 3: Caries excavation and canal negotiation showing deep cervical extension.
Fig. 4: Sectional matrix placement and deep marginal elevation using flowable composite.
Fig. 5: Matrix-within-Matrix technique for proximal adaptation.
Fig. 6: Fiber-reinforced composite (GC EverX Posterior) placement to mimic dentin base.
Fig. 7: Radiographic confirmation of bioceramic obturation and coronal seal.
Fig. 8–9: Final anatomic layering and occlusal modeling under microscope.
Fig. 10: Completed restoration showing esthetic integration and functional harmony.
Bibliographic References
- Dietschi D, Spreafico R. Adhesive Metal-Free Restorations: Current Concepts for the Esthetic Treatment of Posterior Teeth. Quintessence, 1997.
- Magne P, Belser UC. Bonded Porcelain Restorations in the Anterior Dentition: A Biomimetic Approach. Quintessence, 2002.
- Frankenberger R, et al. “Margin Elevation versus Deep Margin Placement of Direct Composites.” J Adhes Dent. 2013;15(4): 381-389.
- Bazos P, Magne P. “Bio-emulation: Biomimetically Driven Restorative Dentistry.” J Esthet Restor Dent. 2011;23(2): 81-94.
- Clark D, Khademi J. “Modern Molar Endodontic Access and Directed Dentin Conservation.” Dent Clin North Am. 2010;54(2): 249-273.
Share on: