35 years old female patient come to clinic asking for restoring her lower wisdom tooth, during diagnosis the tooth responds positive to sensibility test, no tenderness to percusion , the tooth still vital
All caries removed by using CDD, all unsupported enamel removed.
IDS with gold standard clearfil SE bond
RC with flowable composite from GC
Ever x flow for dentin replacement coverd by universal flowable composite from GC
Biobase completed
Lithium disilicate overlay as final restoration
Initial situation showing large cavity in the lower wisdom tooth
Isolation, step by step, all caries were removed by using CDD
Clean enough
IDS with gold standard clearfil SE bond, RC with flowable composite from GC, ever x flow for dentin replacement, universal flowable composite over the ever x flow
Preparing the tooth ,biobase creation
Buccal view
Cementation day, isolation, biobase air abraded
Cementation with heated palfique LX5 composite
Immediate result
Immediate result after rubberdam removal
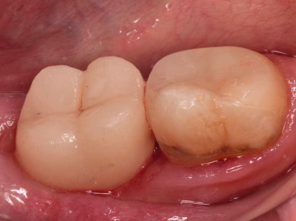
Buccal view
Final result
Share on: