- When you have a large cavity like MOD cavity and the patient can’t tolerate the cost of indirect lithium disilicate overlay here the biomimetic dentistry gives you the solution The Semidirect restoration offers the properties of indirect restoration and the time of direct restoration and (slightly) higher cost than direct restoration , below the steps of Semidirect restoration
Initial situation, largely MOD cavity, endo_ treated tooth
Old TF and amalgam removed, all caries removed
Isolation, after endo_treatment the minimum thickness needed to the wall is 3 mm if it's less than 3 mm the walls must be reduced
Palatal view shows the thickness of the walls
The wall reduced and the biobase now ready
Another view showing the amount of reduction and the Semidirect preparation
After rubber dam removal
Palatal view
The impression : if you want to do cementation in the same visit so you can take impression by alginate and pour it with light body silicon material, it's important that the impression material and the Cast material differ from each other , here I toke impression by Silicon material and pour it with ston because I want to do the cementation in 5 days later so this is another option for impression and cast materials
The Semidirect restoration build with composite layer by layer each layer 1.5 mm and cured for 40 seconds, then after finishing it the Semidirect restoration must be placed in special oven offer the photothermic condition , must placed for 7 minutes in 120°
Afte finishing and polishing of the Semidirect now ready to placed in the oven
Cementation day
Isolation, the biobase treatment was : sandblast _acid etching-bond without curing
Cementation with heated composite
Immediate result
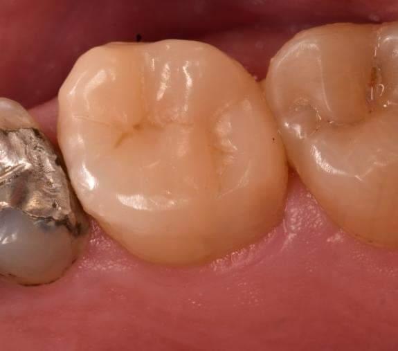
Look to the contact distally, the second premolar will treated later and the contact will return to its proper position
Another view
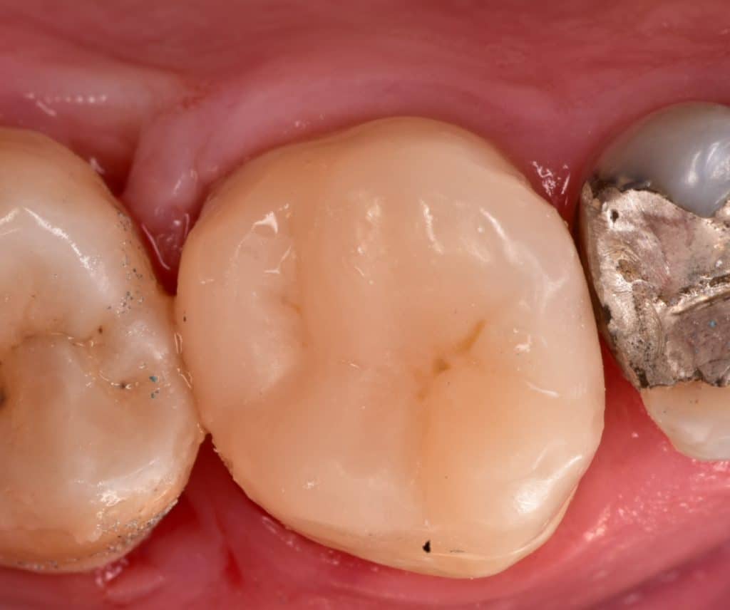
After rubber dam removal
Final result,
Share on: