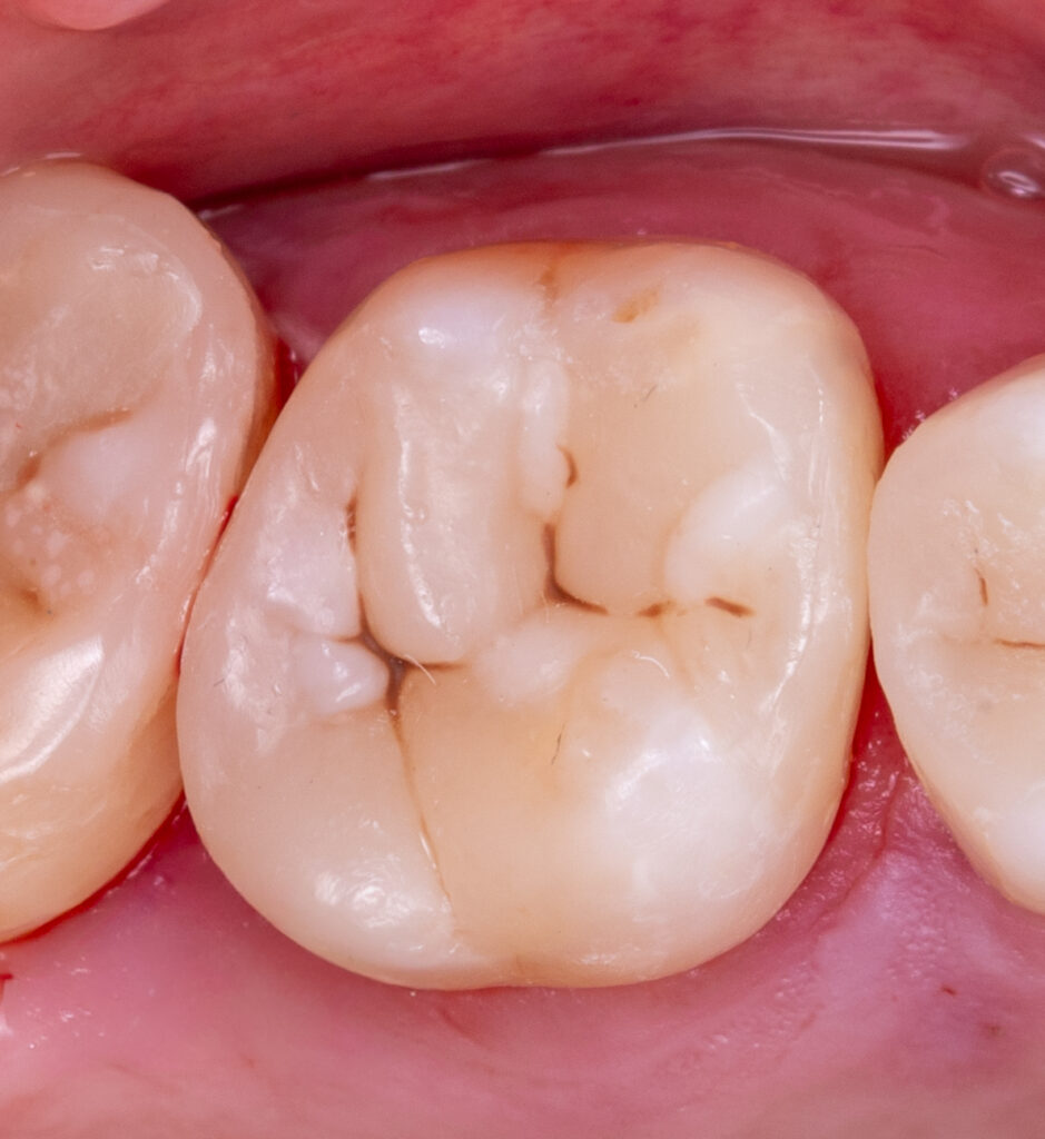
At the beginning of the treatment of deep caries on tooth 2.6, a pulp vitality (friz) test and a periapical radiograph were performed before anesthesia to confirm that the tooth was vital. Necrotomy was then carried out using a white diamond round bur and a bur on the contra-angle handpiece down to sound dentin. All infected dentin (KID) was completely removed, while cariously affected dentin (CAD) was preserved if it was hard and pigmented.
Wooden wedges and a Palodent matrix system were applied to ensure proper embrasure and facilitate proximal wall restoration. The proximal walls were rebuilt using Asteria A2B composite, and EverX Bulk Fill was placed inside the tooth to reduce stress, minimizing the C-factor and polymerization stress. The tooth anatomy was subsequently restored with NeoSpectra in shades A2 and D1, and the fissures were stained with Mecherium Color Brown.
Total treatment time: 1 hour 35 minutes.
Share on: