We started the treatment with a periapical radiograph to confirm the absence of any periapical changes and to assess the root canal lumen.
A cold test was performed, which confirmed a vital pulp.
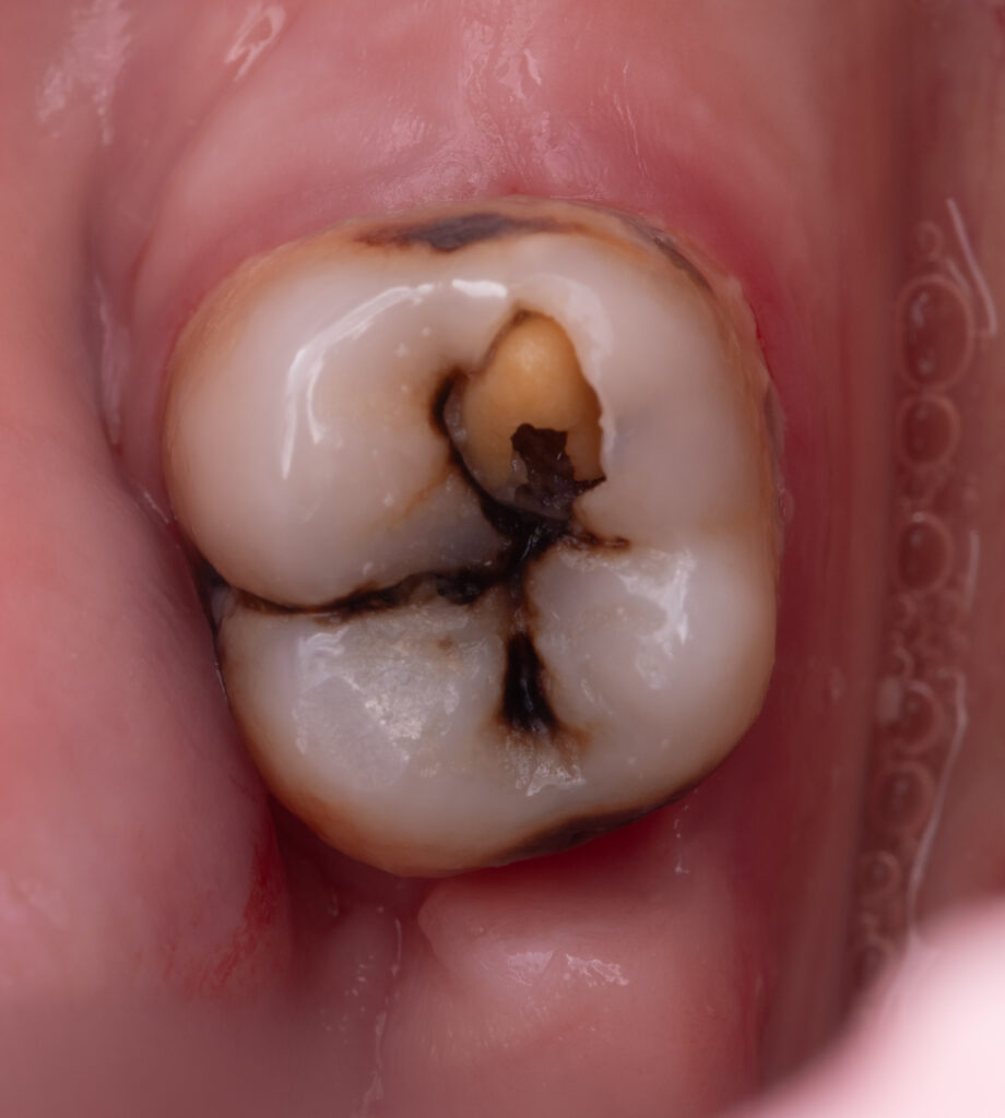
Next, caries-infected dentin (CID) was removed using a caries detector. The mesio-lingual wall was reduced due to the lack of dentin support.
The following materials were used: Estelite Flow A3 / Asteria A3B / OcE, EverX Bulk Fill, and anatomical restoration was completed with NeoSpectra A3, with characterization using Enamel Brown and White stains.
Total treatment time: 1 hour 10 minutes.
Share on: