Explanation of the steps under each picture
𝙔𝙊𝙐 𝘾𝘼𝙉 𝙎𝙀𝙀 𝙏𝙃𝙀 𝙄𝙈𝙋𝙊𝙍𝙏𝘼𝙉𝘾𝙀 𝙊𝙁 𝙄𝙎𝙊𝙇𝘼𝙏𝙄𝙊𝙉
According to guidelines of WHO and FDA and American , Japanese academies
- Amalgam removal should be done under full isolation
- Must have face shield or eye goggles
- should be removed by stone not Not carbide bur
As carbide will produce amalgam ships
For More details :
https://www.hindawi.com/journals/jeph/2012/517391/
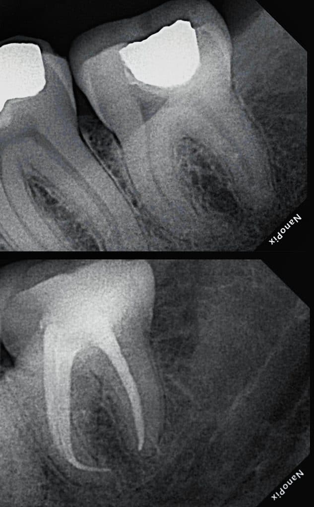
Ttt plan:
Endo ttt of lower 8 followed by compsite
And direct compsite to lower 7
After remove all amalgam
Should be finishing the cavity
IDS
- After etching dis infected the cavity by CHX
And dry it only
-
CHX is recommended to be used in case
Etching, drillind , heat generation in dentine
as those causes degeneration of collagen protein from hydroxyapatite which makes it vulnerable to the action of proteolytic enzymes such as MMPs … is there a recommendation to use CHX to prevent it degeneration
Bonding process
Enamel soo easy
But the dentine it’s challenging
Bonding
, universal bond
2 layer
Bond 👉🏻 rubbing 20 s remove excess 👉🏻 some air 👉🏻 light cure 20 s
Another one
Bond 👉🏻 rubbing 20 s remove excess 👉🏻 some air 👉🏻 light cure 20 s
Then ,
O.5 mm of RESIN COATING on dentin
One layer of universal bond it’s very weak And thickness of one layer about 10 micron
When application 2 layer - we elevated the thickness of adhesive layer to 20 micron
Still it’s weak point in universal bond
on the opposite side
Obtibond ( prime - adhesive) separate
Thickness of layer 80 micro
More strongly than universal
https://pubmed.ncbi.nlm.nih.gov/29040961/
Final anatomy
Without finishing and polishing
Endo ttt of lower 8
Cold hydraulic obturation with Bio ceramic sealer
Thanks
Share on: