Subscribe & Follow:

TOP-NOTCH

We have long surpassed more than 250 posts on this free blog. Many are beautiful, some are less complete. It is clear that some are documented and explained better than others, so we decided to create a section with more in-depth cases. It’s called TOP-NOTCH.

 

How to create a top-notch case on MYZerodonto?

We thought about how to draft these guidelines to make them meaningful but not too constricting. It is not easy to write rules that apply to all branches of dentistry. We tried.

So here is the list of lines you need to repeat so that your post can be labeled topnotch:

– Title
– Abstract 300-500 characters (a brief description of the case)
– Author CV
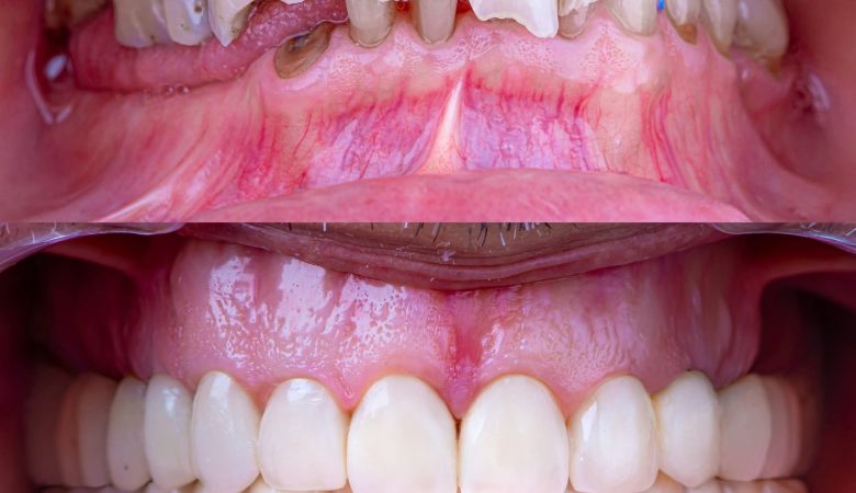
– At least 8 images (initial and final, pre and post rx, at least 3 images of operative procedures, follow-up at least 1 year)
– Caption for each image
– Rubber dam for Endo and Conservative procedures
– Models or wax-up for Prosthetic procedures
– At least 3 bibliographic references

 

What is the advantage of being featured?

Top-notch posts are highlighted, have a dedicated section, and can be easily recognized. Those who routinely post topnotch cases could be chosen to become an expert on one of the world’s largest dentistry Facebook groups, our Zerodonto Dentistry

Finally, you will be in the company of a close circle of colleagues who know how to document a case and provide the essential data to be able to appreciate, judge, and understand a patient’s treatment.