Achieving both function and aesthetics in posterior restorations can be challenging, requiring precision, the right materials, and a deep understanding of occlusal anatomy. However, with the right approach, clinicians can streamline the process while maintaining high-quality, long-lasting results.
by following proper protocol we can achieve predictable & long lasting results.
ensure long term success (biological stability ) in addition to survival of the restorations.
follow up is the key to success, confirming that your protocol is right and precise.
in this case we have a compromised posterior quadrant. second premolar with deep carious lesion , first molar with irreversible pulpitis because of deep Carie’s and finally second molar with occlusal caries.
in such cases rubber dam isolation is very important step to enhance the working field, preventing saliva and blood contamination, improving adhesion and overall restorative success.
in such big cavities like first molar especially if root canal treated tooth like this case , cavity design is properly created & refined ,preserving sound tooth structure while ensuring mechanical stability
References;
- Demarco FF, Corrêa MB, Cenci MS, Moraes RR, Opdam NJ. Longevity of posterior composite restorations: Not only a matter of materials. Dent Mater. 2012;28(1):87-101.
- Opdam NJ, van de Sande FH, Bronkhorst E, Cenci MS, Huysmans MC, Demarco FF. Longevity of posterior composite restorations: A systematic review and meta-analysis. J Dent Res. 2014;93(10):943-949.
- Heintze SD, Rousson V. Clinical effectiveness of direct class II restorations – a meta-analysis. J Adhes Dent. 2012;14(5):407-431.
- Mjör IA. The reasons for replacement and the age of failed restorations in general dental practice. Acta Odontol Scand. 1997;55(1):58-63.
- Da Rosa Rodolpho PA, Donassollo TA, Cenci MS, Loguercio AD, Moraes RR, Bronkhorst EM, Opdam NJ, Demarco FF. 11-year survival of posterior composite restorations placed in a randomized clinical trial. J Dent. 2011;39(7):482-490.
Pre operative picture showing compromised posterior quadrant.
To restore optimal function, and esthetics,we need to follow a precise and efficient approach that ensures long-term success.
Rubberdam isolation and properly inversion of rubberdam sheet To ensure optimal visibility ,moisture control, and contamination-free bonding . Second premolar was restored after complete caries removal .
First molar cavity was sandblasted and the cavity is ready now for bonding protocol(immediate dentin sealing). This is very important step before beginning root canal treatment
3 functional and esthetic restorations was performed using cusp by cusp technique and by following the natural cusps inclination & groove’s pathway By following the natural cusp inclinations and groove pathways, we can restore both esthetics and function, reducing the need for extensive adjustments during finishing and polishing.
Following this stains were applied. mimic natural occlusal appearance & fill between grooves.
Immediately after rubberdam removal , post operative occlusion check was performed and compared to pre operative occlusion check (confirmative approach) . ensuring that functional anatomy was accurately restored beside esthetics.
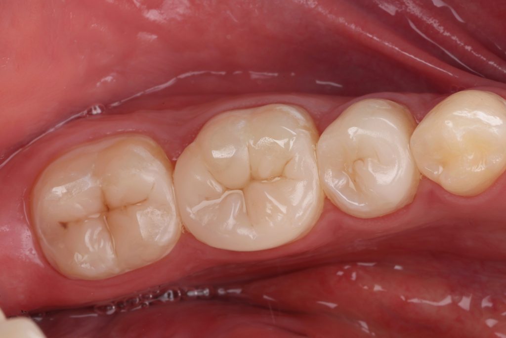
2 years follow up picture.
Share on: