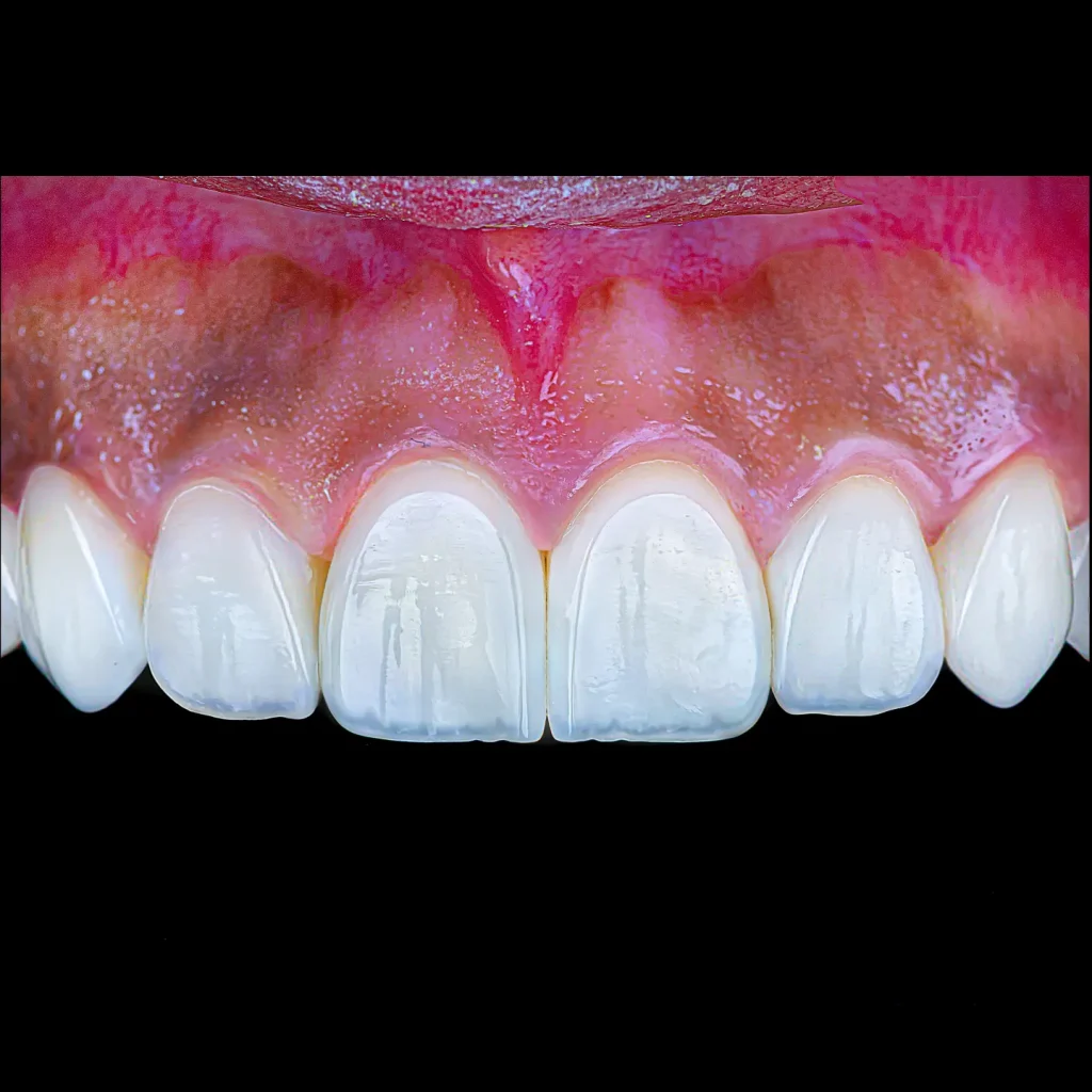
As dentists, we are required to develop the skill sets for providing esthetically pleasing results without compromising the biological and functional principles of natural dentition. The direct composite veneer is among the most minimally invasive treatment modalities available for the rejuvenation and restoration of patient’s smile.
It is well suited for esthetic and conservative improvement of anterior teeth by applying tooth-colored material (i.e., composite) to restore localized or generalized defects and intrinsic discolorations or spacing. Common indications for such protocol; include teeth with facial surfaces that are malformed, discolored, abraded, or eroded or have faulty restorations or with multiple interproximal spacing.
Share on: