Partial pulpotomy is a vital pulp therapy aimed at preserving the health and function of the dental pulp after traumatic exposures, particularly in young permanent teeth with immature apices. This procedure involves the careful removal of a small portion (1–3 mm) of the exposed and inflamed pulp tissue to maintain pulp vitality, thereby facilitating continued root development and apexogenesis. The success of partial pulpotomy is contingent upon proper case selection, aseptic technique, and the use of appropriate pulp-capping materials. Studies have demonstrated high success rates for partial pulpotomy in both mature and immature teeth with complicated crown fractures, with success rates ranging from 75% to 96.7% over a follow-up period of at least 12 months.
In cases of crown fractures where the tooth fragment is retained, reattachment of the fractured segment to the remaining tooth structure offers several advantages over conventional restorative methods. Adhesive reattachment techniques utilize modern bonding agents to reattach the fragment, resulting in a restoration that closely mimics the original tooth in terms of color, texture, and translucency. This approach not only provides superior esthetic outcomes but also restores the tooth’s function effectively. Additionally, reattachment is a more conservative treatment option, preserving the natural tooth structure and offering a positive psychological benefit to the patient. Clinical reports have indicated that reattachment of fractured fragments can provide better and long-lasting esthetics, improved function, and is a faster and less complicated procedure.
The combination of partial pulpotomy and fragment reattachment is particularly beneficial in young patients with immature permanent teeth. Maintaining pulp vitality through partial pulpotomy allows for the continued development of the tooth’s root, which is crucial for the long-term prognosis of the tooth. Simultaneously, reattaching the original tooth fragment ensures optimal esthetic and functional restoration. This integrated approach aligns with the principles of minimally invasive dentistry, aiming to preserve natural tooth structure and promote healing. The American Academy of Pediatric Dentistry (AAPD) recognizes partial pulpotomy as a treatment of choice following traumatic pulp exposures in immature permanent teeth, emphasizing its role in maintaining pulp vitality and supporting root development.
In conclusion, partial pulpotomy combined with adhesive reattachment of fractured tooth segments offers a comprehensive treatment strategy for young patients with traumatized teeth and immature apices. This approach not only preserves pulp vitality and supports continued root development but also provides superior esthetic and functional outcomes through the reattachment of the natural tooth fragment. Adopting such conservative and biologically favorable techniques is essential in pediatric and adolescent dental trauma management.
([PMC](https://pmc.ncbi.nlm.nih.gov/articles/PMC10622000/?utm_source=chatgpt.com))
([PMC](https://pmc.ncbi.nlm.nih.gov/articles/PMC4367037/?utm_source=chatgpt.com))
([AAPD](https://www.aapd.org/media/Policies_Guidelines/BP_PulpTherapy.pdf?utm_source=chatgpt.com))
https://pmc.ncbi.nlm.nih.gov/articles/PMC10622000/
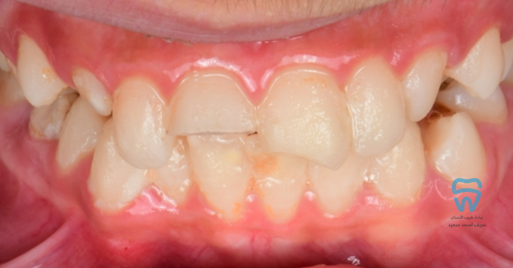
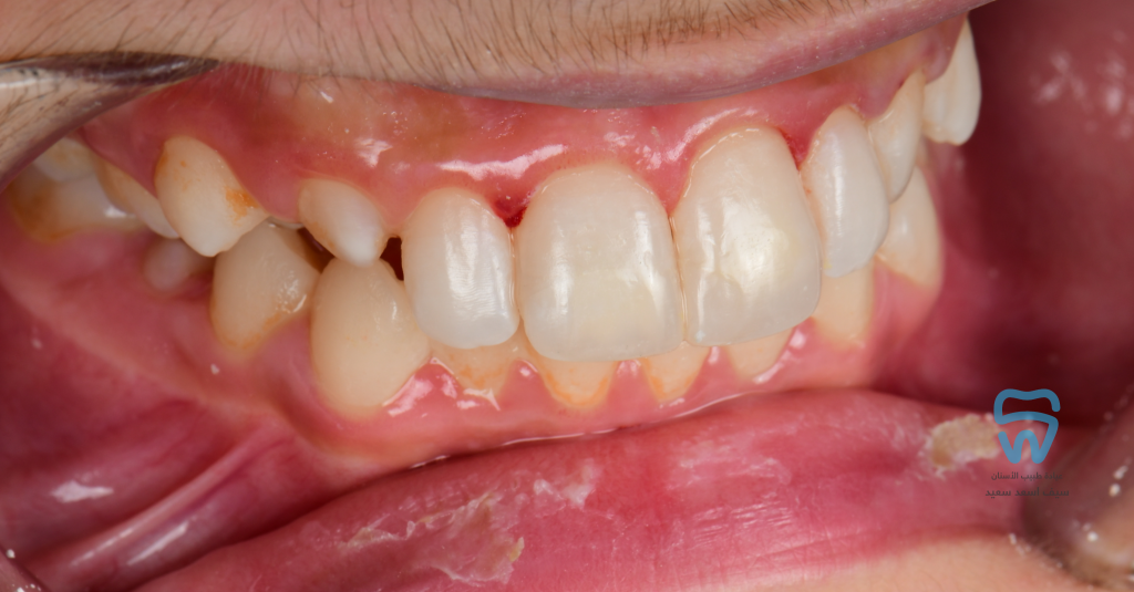
patient came with 2 fractured upper centrals
closer look at the condition
Lower lip soft tissue radiograph
Pre and post operative radiographs
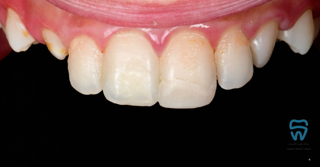
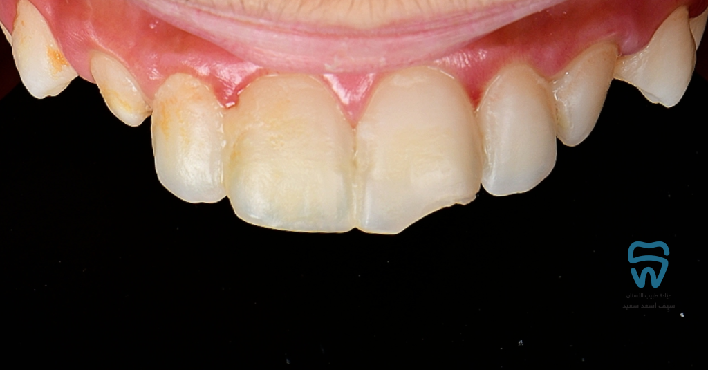
Complicated crown fracture
The fractured segment of the right central
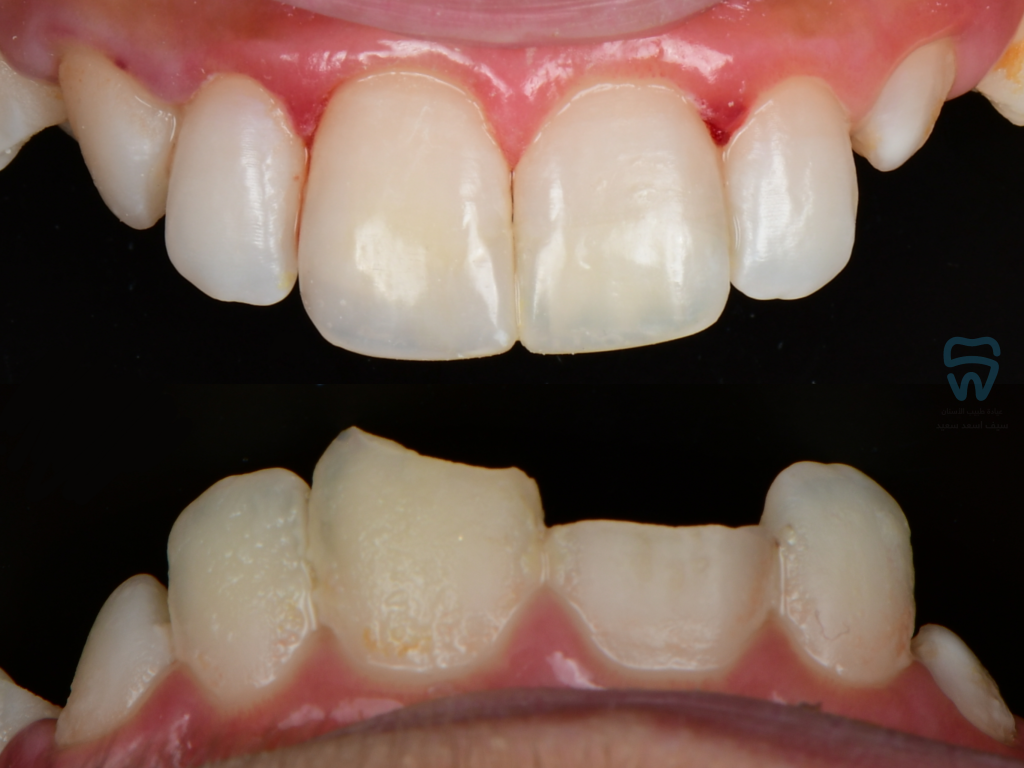
Reattachment of the segment
Direct mock-up
Try-button technique for shade selection with cross-polarized filter on a ring flash
Silicone index
Isolation and cavity preparation
Enamel shade palatal shell
3D layering
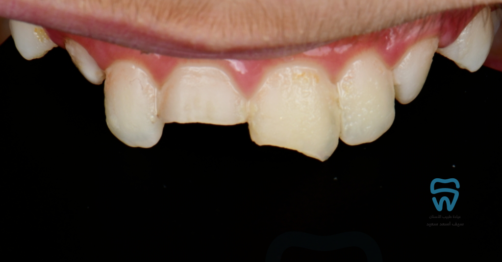
At the restoration's polishing visit the patient came back with another trauma on the left central within two days of the restoration
Finished and polished
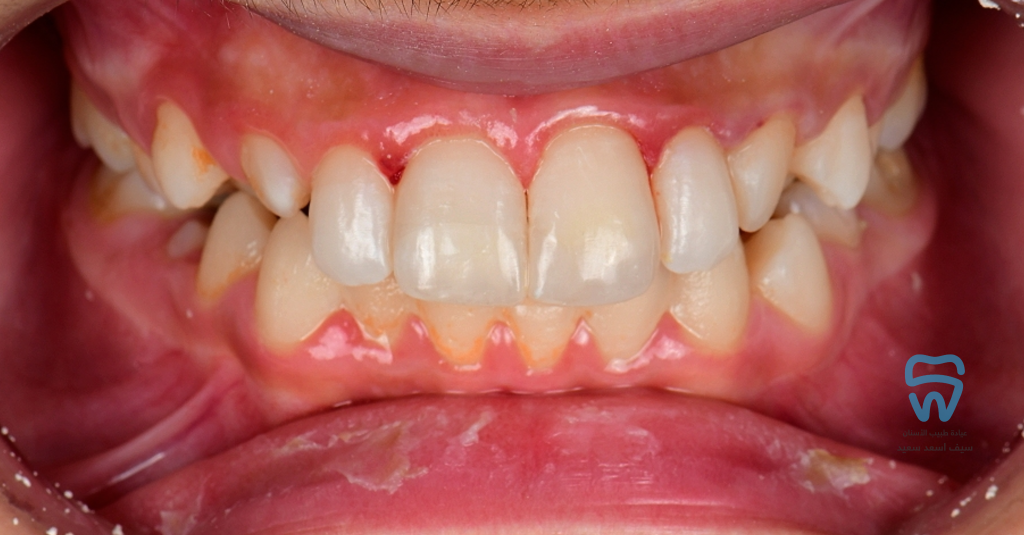
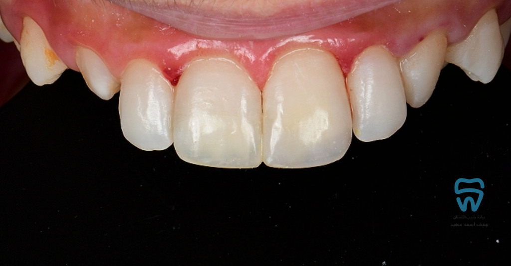
1 year follow-up
Share on: