The word aesthetic implies beauty, naturalness, and youthful appearance relative to one’s age.
Aesthetic dentistry created new dimensions in providing esthetics and functional rehabilitation. Because of aesthetic demands as well as patients’ awareness have been increased over the period of years, it becomes imperative for clinicians to evolve better treatment modalities to deliver higher standard of treatment modalities using new generation materials along with improved clinical procedure.
A veneer may be defined as anything that is covering something to improve its appearance. Within dentistry, a veneer is a thin layer of ceramic or composite resin placed on the facial surface of one or more teeth. The thickness can be ranged from 0.3-0.7mm.
Indication for ceramic veneers are:
1. Teeth with discoloration, such as those affected by amelogenesis imperfecta, physiological aging, trauma, fluorosis, or stains caused by tetracycline intake.
2. Teeth with extensive caries lesions or fractures, presence of multiple restorations with unsatisfactory shade rotated or inclined teeth.
3. Necessity of reduction and closing of diastema.
4. In the cases of developmental anomalies like short teeth which require increasing of its length, misshapen peg-shaped maxillary lateral incisor, microdontia and Hutchinson’s incisors.
5. Aesthetic transformation (canines into lateral incisors and lateral into central incisors) in orthodontic treatment for closure the space duo to loss of upper lateral incisor.
Contraindications for veneers
1. Patients with bruxism or parafunctional oral habit.
2. Edge-to-edge occlusion of the anterior teeth.
3. Anterior teeth with large destruction of the crown.
4. When there is not enough remaining tooth structure to support the veneer.
5. High caries disease activity associated with bad oral hygiene.
6. Presence of periodontal disease.
7. Teeth with excessive labial inclination.
Thus, during clinical examination, it is fundamental to explore the patients’ estimate of dental esthetics. However, some objective parameters can be used to identify the most expressive changes that may compromise oral esthetics. Many characteristics of teeth and gingiva, such as tooth dimension clinical crown width-to-length ratio, color, shape, and gloss, among others, as well as gingival shape, contour, embrasure, zenith, and height (position or level), are part of what is called micro-esthetics. These parameters cannot be analyzed separately, although being very important to result on a pleasant smile (mini esthetics) but in association with a harmonious face (macro-esthetics) to result in good self-esteem (hyper-esthetics).
Gingival composition Analysis
The borderline of the dental crown and the gingival tissue determines the so-called gingival line, which also interferes with the harmony of the smile. For its evaluation, a straight line is traced from the highest point of the interface between the tooth and the gum, known as the gingival zenith, from the right to the left maxillary canine.
The tooth- gum interface of both central incisors should be on this line, while the lateral incisors are approximately 1.5 mm below this line.[5] The gingival line is preferably parallel to the occlusal frontal line. The gingival zenith of the homologous teeth should be on the same plane, guaranteeing the symmetry of the dental-gingival composition. Since the long axis of the anterior maxillary teeth is slightly inclined to the distal, the gingival contour does not form a symmetric arch, and the gingival zenith is slightly displaced to the distal side.
Visibility of the gingival contour during a broad smile largely contributes to facial esthetics. Corrections on the gingival contour can be obtained by surgical techniques, such as gingivectomy or coronally advanced flaps.
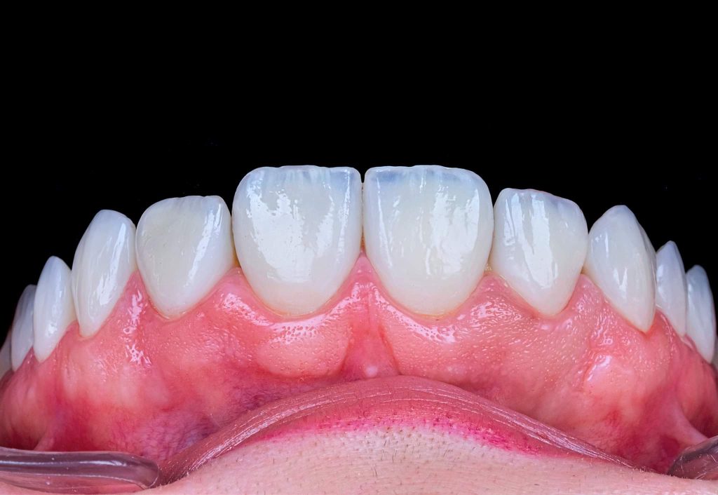
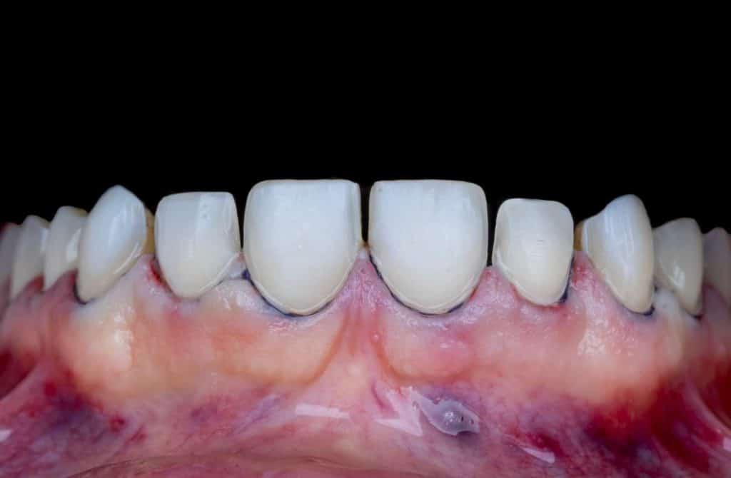
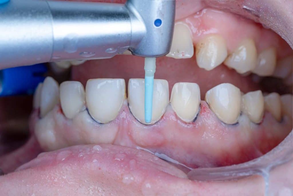
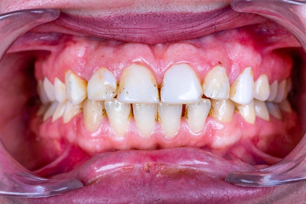
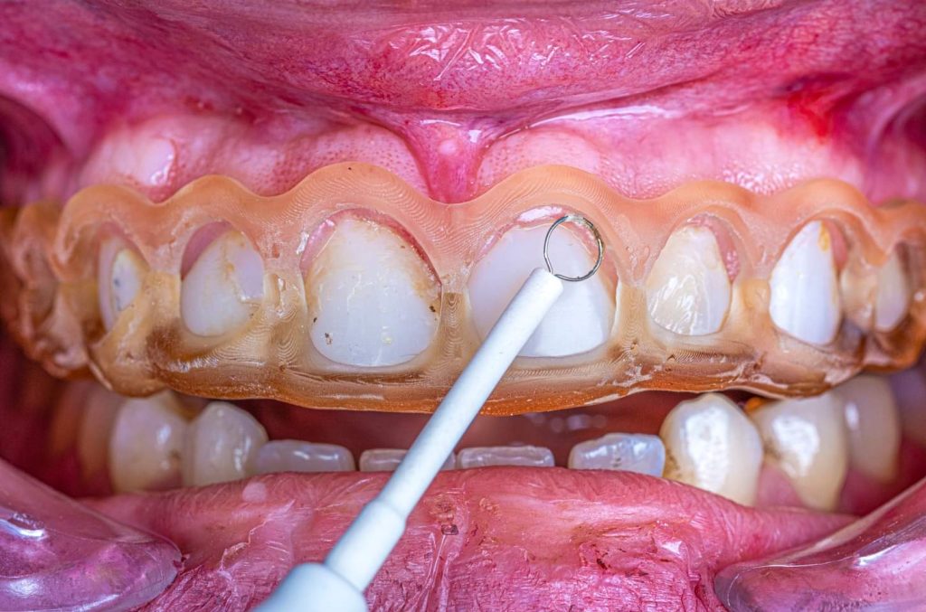
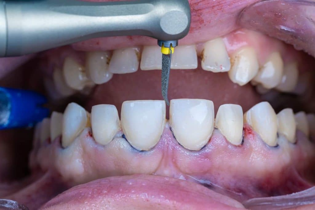
The case presented in this case report is for a 27-years-old female patient with a chief complaint of aesthetic correction for her smile. The patient was unhappy with her smile. After clinical examination, there were previous old composite veneering done poorly and incorrectly to close the multiple interdental spacing. After discussing the various treatment options (i.e., orthodontic treatment, direct, or indirect veneers), indirect ceramic veneering was selected. The step-by-step treatment protocol is presented in the images below.
Special thanks to my friend, Dr. Ali Al-Qrimli the CEO of Digital IDEA dental lab for fabrication of the ceramic veneers and the digital designing, with many thanks for the dental ceramist, Dt. Ali Kadum who did the ceramic build-up for this case.
Best Regards.
Dr. Mohammed Ali Fadhil
M.Sc., Ph.D., Restorative and Aesthetic Dentistry
Share on: