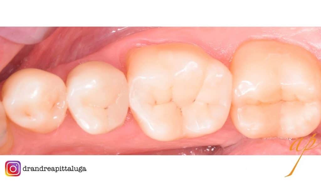
I present a fragment of a case of conservative therapies of a patient with multiple fillings to be replaced due to carious infiltration.
Due to the short time available to the patient, I had to fragment the case by performing at first only the occlusomesial filling of 3.7.
During the second appointment, as can be seen from the images, the old extensive, incongruous and infiltrated fillings of 3.5 (occlusomesial) and 3.6 (mesiocclusodistal) were removed.
The composite masses used are:
- Micerium Flow
- Micerium UD4
- Micerium EF2
The characterizations, not having available the stains, were made by combining pencil tempera with bonding.
The polishing was performed with Shofu rubbers (brown and green) and diamond pastes.
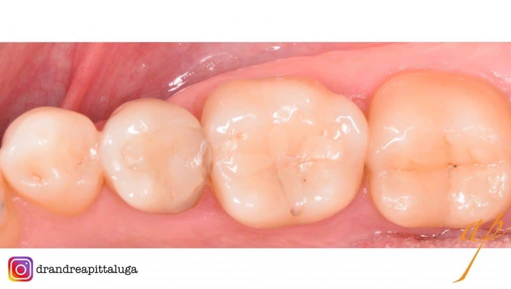
The final image shows the chromatic integration one week after the execution
Share on: