Patient Information
- Age: 25 years
- Chief Complaint: Esthetic concern due to missing anterior tooth
Clinical Examination
- Findings: Absence of the maxillary left central incisor
Radiographic Examination
- Findings: Horizontal ridge deficiency consistent with Seibert Class I
Preoperative Virtual Planning
- Implant trajectory indicated full submergence within native bone.
- Anticipated 3 mm crestal dehiscence, with assurance of primary stability.
Proposed Treatment Plan
- Fully guided implant placement
- Simultaneous guided bone regeneration (GBR)
Surgical Procedure
Stage One: Implant Placement and GBR
- A full-thickness mucoperiosteal flap was elevated.
- Guided osteotomy preparation was performed, followed by fully guided implant insertion.
- Intraoperative Challenge: The implant was exposed from platform to apex. Despite this, adequate primary stability was achieved via palatal bone engagement.
- Possible Cause of Discrepancy: Poor CBCT quality with wide grayscale range, potentially misinterpreted as bone.
- Decision-Making: Although a staged approach was considered, patient time constraints necessitated continuation with simultaneous GBR using the sandwich technique.
Stage Two: Soft Tissue Management and Temporization
- Implant uncovery was performed.
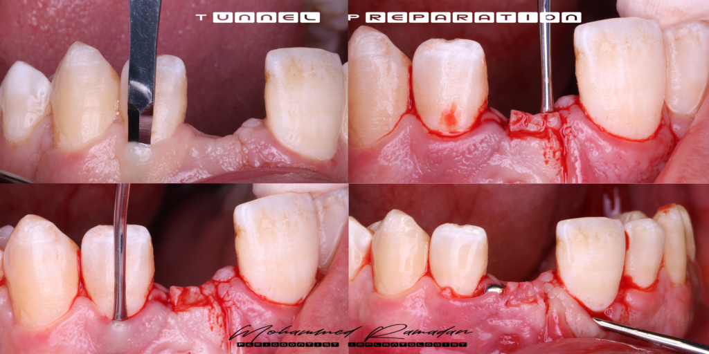
- Sub-epithelial connective tissue graft (CTG) placed via tunnel approach.
- Temporization achieved with a stock abutment, followed by a full-contour milled PMMA crown to promote papilla formation.
Stage Three: Definitive Prosthesis
- Customized impression technique employed to capture the emergence profile.
- Final restoration delivered as a screw-retained monolithic zirconia crown.
Discussion
This case highlights the challenges of guided implant placement in sites with ridge deficiencies and the potential mismatch between virtual planning and intraoperative reality. Despite complete implant exposure, palatal bone engagement provided sufficient stability to proceed. The decision to continue with simultaneous GBR was influenced by patient-specific constraints. The staged soft tissue augmentation and customized prosthetic workflow contributed to achieving an esthetic and functional outcome.
Share on: