The biomechanical principles of tooth preparation for zirconia or porcelain indirect restorations can be summarized into (preservation of tooth structure, retention and resistance from, structural durability of the restoration, preservation of periodontium, and the marginal integrity which is dependent on smooth, uniform, and continuous finishing line).
The tooth preparation must be as conservative as possible (i.e., only minimal amount of tooth structure must be removed). In addition to being a damaging phenomenon, excessive tooth structure removal has negative consequences:
1. Excessive reduction can cause thermal hypersensitivity, pulpal inflammation, and necrosis if you go too close to the pulp.
2.The tooth may be too tapered or shortened, which may compromise the prepared tooth’s retention and resistance.
In addition, the finishing line of the preparation (or the so called “The preparation margin”) ‘which is the final margin that separates between the prepared and the unprepared tooth structure’ should be smoothly continuous from one surface to another. Otherwise, it will interfere with the proper seating of the crown when it is poorly done. The smooth continuous finishing line together with proper finishing and polishing of the preparation are essential for eliminating any irregularities that could lead to micro gaps at the tooth-restoration interface, which will result in marginal leakage, discoloration, sensitivity, or secondary caries formation. Also, will allow optimum seating of the restoration without any interferences especially at the try-in of the restoration, since such interferences (i.e., especially in cases of porcelain-based restoration) will probably result in cracks or even fracture of the restoration during insertion.
It’s a lot easier to follow those principles when we use the correct tools. The most significant is to employ electrical handpieces for tooth preparation rather than air-driven ones. Air-driven handpieces can have high speeds. These speeds vary between 250,000 and 420,000 rpm. But the torque of these handpieces is low, in the range of 20 watts. Electric handpieces, on the other hand, have lower RPMs but have tremendously higher torque. They have variable speeds from 100 to 200,000 rpm. (Yes, a bur can cut at 100 rpm with an electric handpiece). The torque of electric handpieces is in the 60-watt range (three times that of air-driven handpieces). The bur will not slow down no matter what the material is being cut through, at all speed ranges. Because the electric handpiece provides consistent torque and power, “feathering (intermittent cutting)” is not necessary. The bur may be applied to the tooth structure and will cut or “mill” smoothly and consistently.
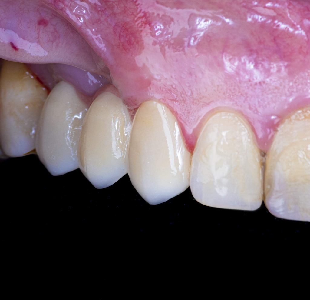
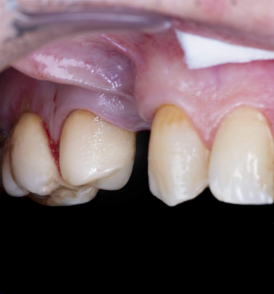
The case presented below is for a 48-year-old male patient. He has a missed maxillary 1st premolar. The second premolar was badly destructed. The treatment protocol conducted for this case included endodontic treatment for the 2nd premolar, followed by fiber post insertion and composite build up. Then the missed 1st premolar was replaced by zirconia layered ceramic fixed prosthesis.
The treatment steps were presented in the images below.
Share on: