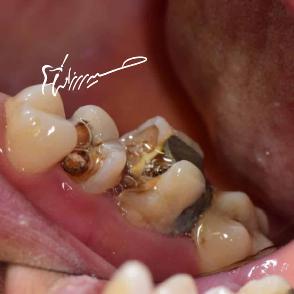
Patient referred from orthodontist to restore his teeth before ortho treatment.
Radiographic and clinical examination reveal the following problems:
Bad RCT need re treatment
deep margin must elevate
destructive structures and there is no feruule
so adhesive options are the best
Share on: