Patient 17 years came to our office with chief complain of root remains following progressive dental decay.
intraoral examination, root remnants 12,11,21&22.
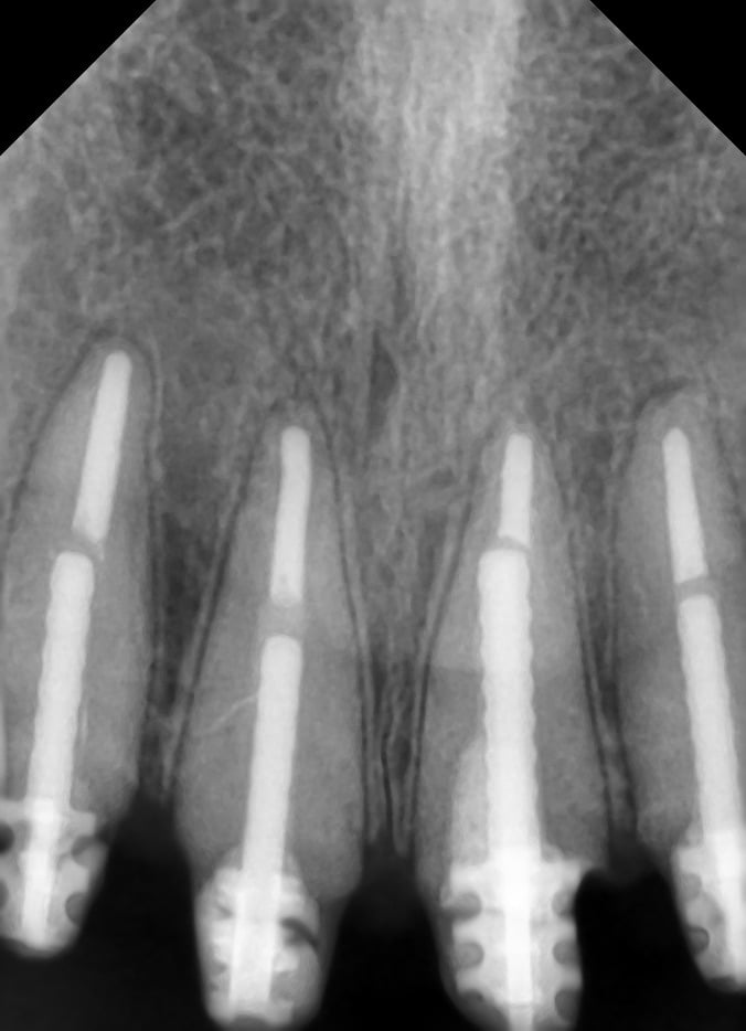
radiologic examination showed root length of 19mm for central incisors and 18mm for lateral incisors.
endodontic treatment was done, core buildup with dentisply metal post placed with glass ionomer cement, (fuji.). Joined ceramic crowns 12&11, 21&22 (ivoclar IPS eMax press LT A2) was done.
Share on: