A simple case showing the clinical management of altered passive eruption.
In order to understand what is altered passive eruption, we must first understand what normal passive eruption is. Passive eruption happens usually during adolescence to early adulthood when the gingiva moves apically to its ideal position resulting in full exposure of the crown. In some patients, this doesn’t take place leading to a state of altered passive eruption characterized by shortened clinical crowns.
Treatment protocol is dependent on the amount of functional attached gingiva and the existing biological width. Here due to the presence of adequate attached gingiva, a gingivectomy was done along with re-establishing the biological width with osseous recontouring.
In this case , the patient was unhappy with the lack of full exposure of her canine’s and central incisors. Hence therapy was localized to those specific teeth resulting in their full exposure and improvement in the patients smile.
initial presentation showing short centrals and canines..
gingivectomy done initially to establish final gingival margin positions..
flap raised..
osseous recontouring done to establish 3 mm biological width..
same done for right canine..
for left canine..
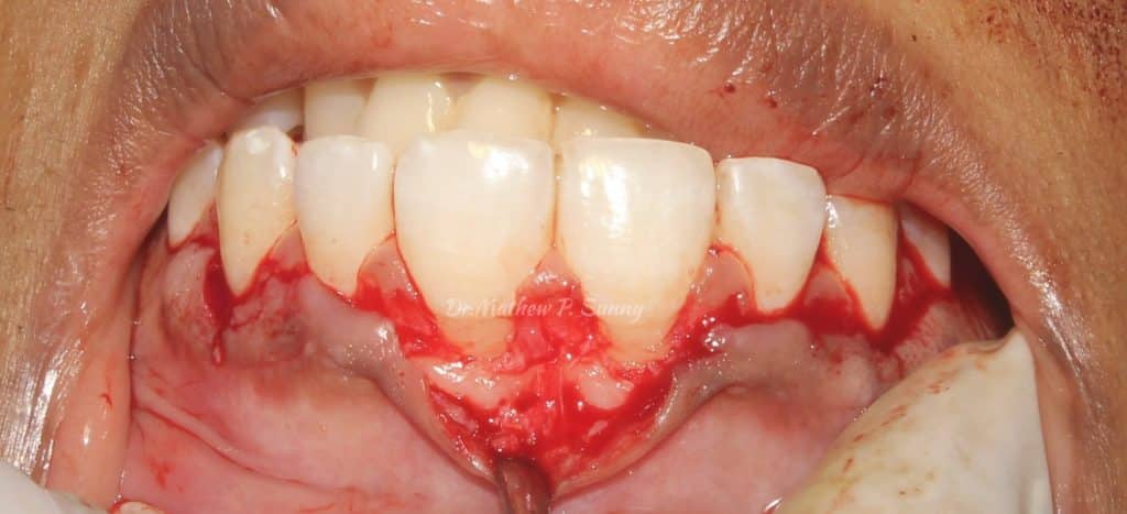
immediate post op smile..
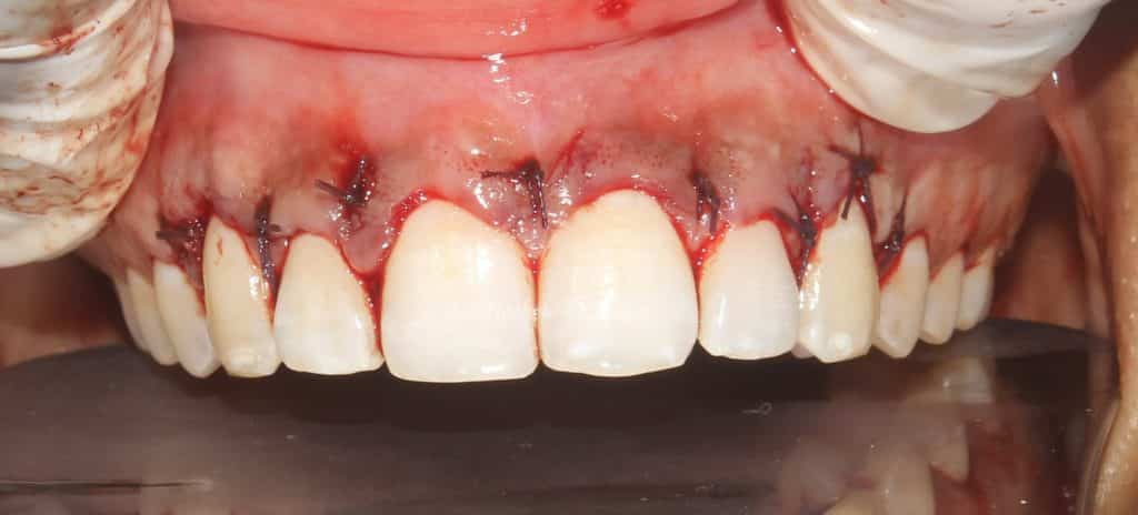
intra oral pic of suturing..
healing at 1 week..
intra oral healing at 1 week..
healing at 1 month.. showing better tissue contour and good exposure of crowns..
Share on: