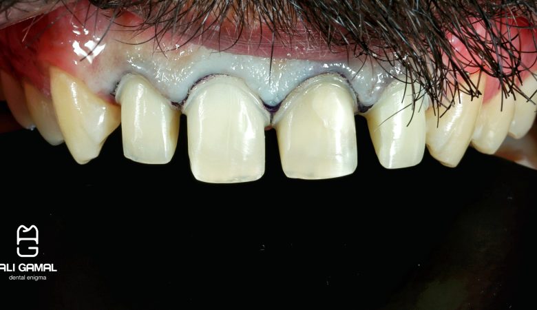
Prosthetic approach should accomodate for soft and hard tissue, respectively to restore smile, contour and function. Horizontal preparation done for teeth no. 12,11 and 21. Butt joint veneer preparation done for tooth no. 22. Custom made post and core done…