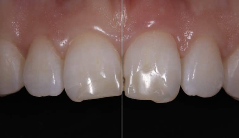
Improper contacts in anterior restorations can lead to aesthetic and functional issues, necessitating the replacement of the restoration. Ensuring proper restoration and correct contact points is crucial in such cases. To achieve excellent aesthetics, especially concerning color in the anterior…