Bioceramic-Based Endodontic Management and Cuspal Coverage Restoration of a Primary Molar: A Conservative and Biomimetic Approach
Abstract (≈480 characters)
This case highlights the endodontic and restorative management of a primary molar with extensive caries and pulpal involvement. Root canal therapy was completed using a bioceramic sealer to ensure long-term seal and biocompatibility, followed by a cuspal-coverage composite restoration under strict isolation. The workflow emphasized dentin preservation, adhesion, and biomimetic reinforcement for pediatric longevity.
Author CV
Dr Hamza Zahid, BDS
Microscopic Restorative & Cosmetic Dentist
CEO – Dr Hamza Dental Center, Lahore (Pakistan)
Focus Areas – Pediatric Endodontics | Bioceramic Sealers | Microscope Dentistry | Adhesive Restorations
Clinical Workflow
1️⃣ Pre-operative Assessment
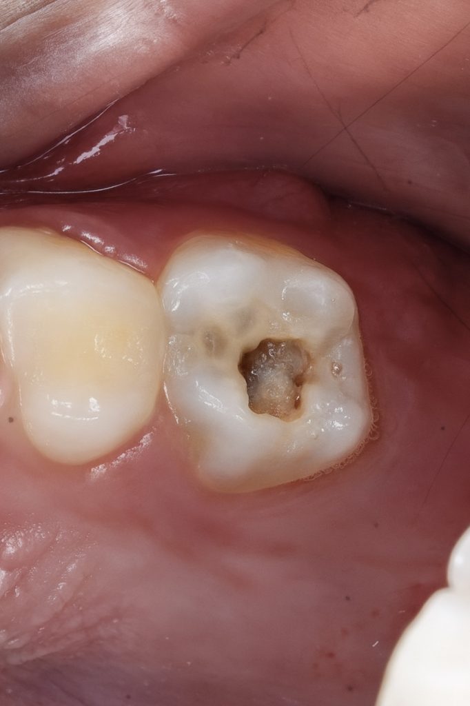
A child patient presented with spontaneous pain and deep caries on a mandibular primary molar (Fig 1). Radiograph revealed pulpal involvement with resorbable root structure yet sufficient length for obturation.
2️⃣ Isolation & Access Cavity
Rubber-dam isolation achieved to prevent contamination (Fig 2). Conservative access prepared under magnification. Coronal pulp tissue removed, and canal orifices located using DG-16 explorer.
3️⃣ Cleaning and Shaping
Instrumentation performed manually with NiTi pediatric hand files (sizes 15-35) in a step-back technique. Irrigation protocol: 1.5 % NaOCl + 17 % EDTA, followed by distilled water.
4️⃣ Obturation with Bioceramic Sealer
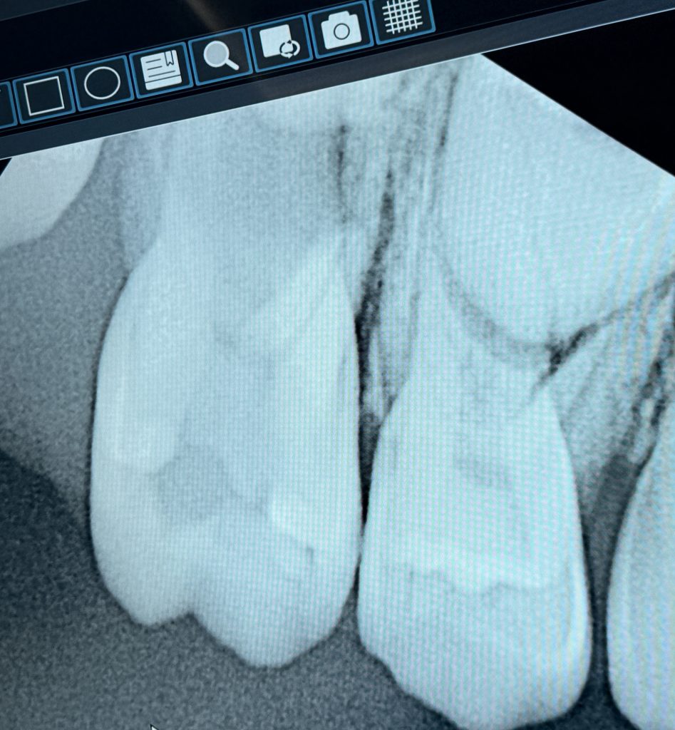
Canals were dried and obturated using a premixed bioceramic sealer (EndoSequence BC RRM Fast Set or BioRoot RCS) in combination with calcium-silicate-based gutta-percha cones (Fig 3). The material’s bioactivity promoted apical healing and sealing despite root resorption.
5️⃣ Coronal Seal and Cuspal Coverage Build-Up
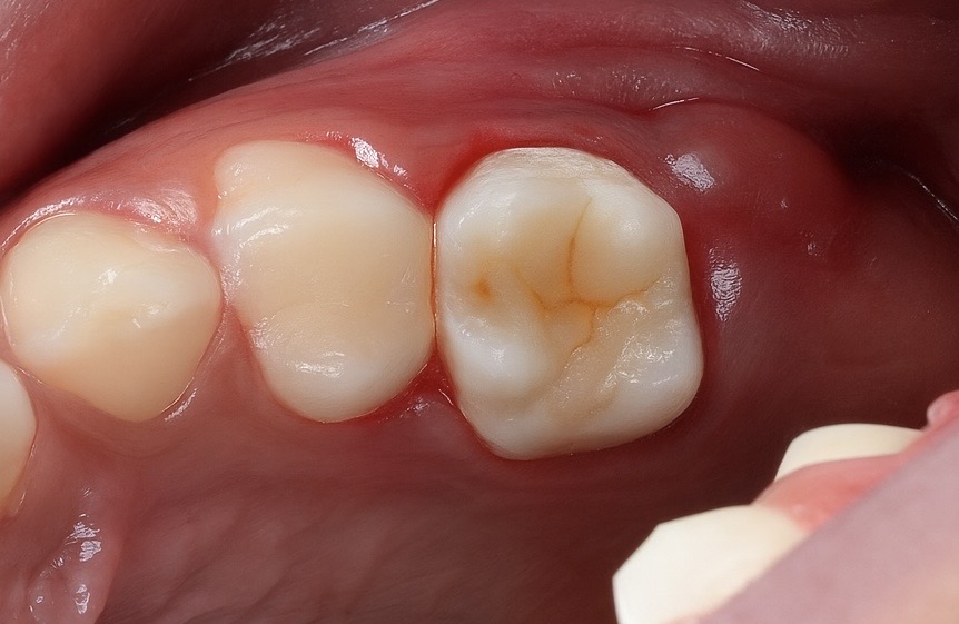
A base layer of GC EverX Flow was placed to reinforce weakened dentin. Over it, Tokuyama Estelite Sigma Quick was applied incrementally to reconstruct missing cusps under microscope control (Fig 4). Each increment cured 40 s per surface, ensuring strong adhesion and anatomic contour.
6️⃣ Finishing and Polishing
Contour refined with Sof-Lex XT discs and finished using Lucida Polish System (Style Italiano) to achieve enamel-like gloss (Fig 5).
7️⃣ Post-operative Evaluation
Final radiograph confirmed dense obturation and intact apical seal (Fig 6). At 1-month review, tooth remained asymptomatic, with functional occlusion and healthy periradicular tissues.
Outcome
The combination of a bioceramic sealer for endodontic filling and a cuspal-coverage composite provided structural reinforcement, reduced microleakage risk, and maintained function until natural exfoliation. The case validates a biomimetic, minimally invasive approach for pediatric posterior restorations.
Image Captions
- Fig 1: Pre-operative radiograph showing deep caries in primary molar.
- Fig 2: Rubber-dam isolation and conservative access.
- Fig 3: Obturation with bioceramic sealer under magnification.
- Fig 4: Incremental composite cuspal coverage using EverX Flow + Tokuyama.
- Fig 5: Final finishing with Lucida Polish system.
- Fig 6: Post-operative radiograph confirming complete fill and apical seal.
Bibliographic References
- Camilleri J. Bioceramic Materials in Endodontics. Clin Dent Rev 2020; 4(1): 1–10.
- Tay FR, Pashley DH. Monoblocks in Root Canals: A Tangible Goal. J Endod 2007; 33(4): 391–398.
- van Dijken JWV et al. Short Fiber-Reinforced Composite in High-Stress Areas. Dent Mater 2015; 31(5): 545–554.
- Magne P, Belser UC. Adhesive Restorations and Biomimetic Dentistry. Quintessence Publ 2002.
Share on: