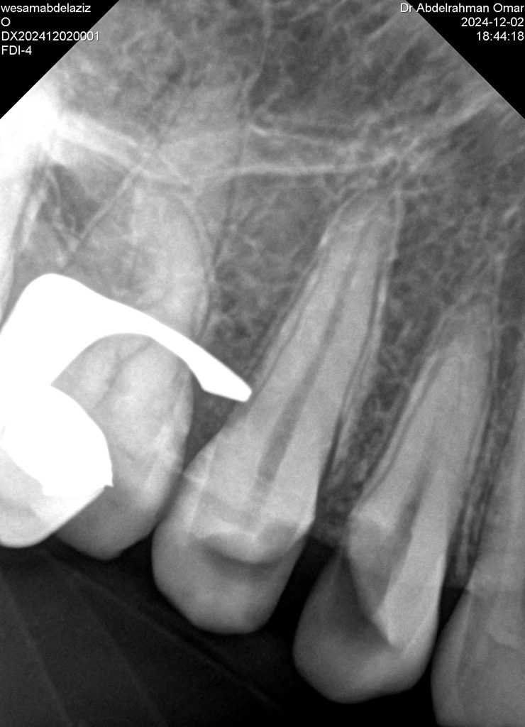
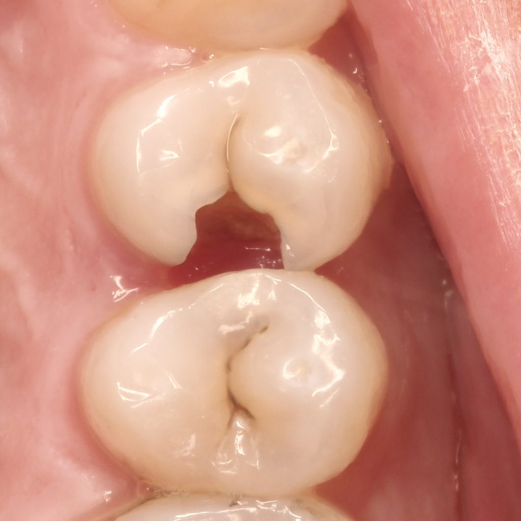
A 22 years old patient came to the clinic suffering from severe spontaneous pain. The diagnosis was acute irreversible pulpitis. The use of CDD is crucial here to ensure the CRE. After finishing endodontic treatment we used polyethylene fibers to enhance the bond strength and the strength of the tooth. Then the use of glass fibers (ever X composite) as a dentin replacement material before the final layer. After finishing. Polishing protocol with eve twist was done to gain the final polish
Share on: