Brand: Palfique LX5 from tokuyama composite for macro core building, GC ,Tukoyama
Material: Clearfil se bond, Clearfil majesty flow, clearfil majesty posterior, gc eversticknet, ever x, Zirconia Bilayered
Technique: DME on 2 steps, Crown Lengthening, CAD/CAM
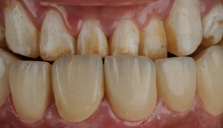
Title Full-Arch Adhesive Rehabilitation Using Direct Composite Resin: A Biomimetic, Minimally Invasive Approach Abstract This case demonstrates full-arch rehabilitation using direct composite restorations in a severely compromised dentition. The treatment philosophy focused on caries control, preservation of remaining tooth…
Brand: Ivoclar composite, Kuraray, Komet
Material: Ceramic, composite resin
Technique: Veneers
Summary Many patients seek aesthetic improvement after completing orthodontic treatment. In modern clinical practice, aesthetic rehabilitation is increasingly based on minimally invasive and carefully planned restorative protocols, as applied in specialized aesthetic clinics such as Sergatiy Dental Clinic Initial Clinical…
Material: Ever x flow for dentin replacement
Technique: 3D Scanning, Vertical preparations, Single cone Obturation with bioceramic sealer, Biomimetic approach, BOPT
Phase I: Endodontic Retreatment and Foundation 1. Isolation and Pre-operative Assessment Rubber Dam Isolation: The procedure began with strict isolation using a rubber dam to ensure an aseptic field. Pre-operative Radiographs: Pre-operative periapical radiographs were taken to evaluate the existing…
Brand: 3D Industrial Imaging
Material: 15 c blade
Technique: 3D printed
حالة إنسانية بدعم من أهل الخير 🤍 مراجعتنا ركّبت تركيبات ذهبية (Gold Crowns) في عمر 14 سنة، اتباعًا لعادات وتقاليد مجتمعها آنذاك، حيث كانت تُعدّ رمزًا للجمال والأنوثة ✨ بعد أكثر من 30 عامًا وتغيّر مفهوم الجمال، تمّت مساعدتها لإزالة…
Brand: Dentsply
Material: AH-plus
Technique: Zirconia Crown
Endodontic Retreatment for Lower 1st molar followed by core build up and Zirconia crown.…
Brand: bredent
Material: Zirconia Bilayered
Technique: Implant Placement Surgery
This clinical case presents a comprehensive prosthetic rehabilitation involving two adjacent premolars—one restored with a Bredent (Sky Copa) dental implant and the other with a conventional full-coverage crown. The treatment aimed to achieve functional harmony and esthetic integration within…
Brand: swisstech
Material: Bio-Oss
Technique: immediate loading implants
Swiss Implant Screw-Retained Monolithic Zirconia Prosthesis: Six-Month Clinical Follow-Up Dr Hamza Zahid Biomimetic & Restorative Dentistry Dr Hamza Dental Center — Lahore, Pakistan ABSTRACT This report presents the prosthetic workflow and short-term evaluation of a Swiss implant restored with a…
Brand: 3M composite, Tokuyama
Material: Zirconia Restorations
Technique: DME on 2 steps, Bio obturation, Biomimetic approach
One-Year Follow-Up: Re-Endodontic Management with Deep Margin Elevation and Full Adhesive Rehabilitation of Mandibular First Molar Author: Dr. Hamza Zahid Clinic: Dr. Hamza Dental Center – Lahore, Pakistan Discipline: Endodontics | Restorative Dentistry | Adhesive Rehabilitation Tooth: #46 (Lower Right…
Brand: Emax, 3M composite
Material: Bisco resin cement, Emax
Technique: 3D Scanning, 3D printed, anterior emax veneers
Smile Enhancement Using E-max Veneers: Precision Adhesion for Predictable Esthetics Abstract (≈480 characters) This clinical case demonstrates a full smile transformation through lithium-disilicate (E-max) veneers, emphasizing a conservative. Careful digital planning, enamel preservation, and strict adhesive protocols resulted in optimal…
Brand: 3A MEDES - Biodent
Material: 15 c blade
Technique: 3 STEP technique