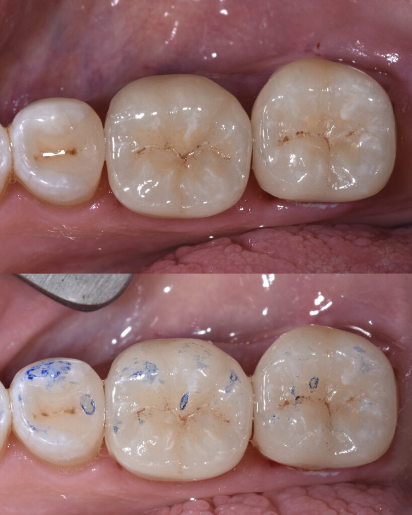
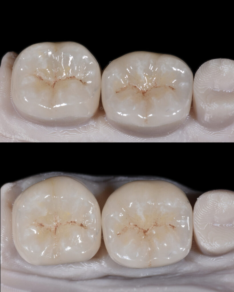
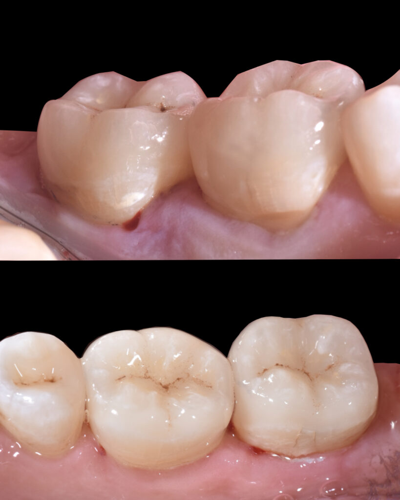
Tooth 3.6 was severely compromised and was managed with endodontic treatment, deep margin elevation, and an indirect adhesive restoration with full cuspal coverage using a lithium disilicate overlay.
Tooth 3.7 presented a large MOD carious lesion, with both distal cusps and the mesiolingual cusp structurally compromised.
Endodontic treatment was performed using nickel–titanium rotary instrumentation, with irrigation protocols including sodium hypochlorite and 17% EDTA, both sonically activated.
The root canal system was obturated using a single-cone cold technique with a bioceramic sealer.
The prosthetic restorations were treated as follows:
• 9% hydrofluoric acid for 10 seconds
• 37% orthophosphoric acid for 90 seconds
• Silane application
• Universal adhesive
Adhesive cementation was performed using preheated composite resin.
Now we wait for healing 🤞
Share on: