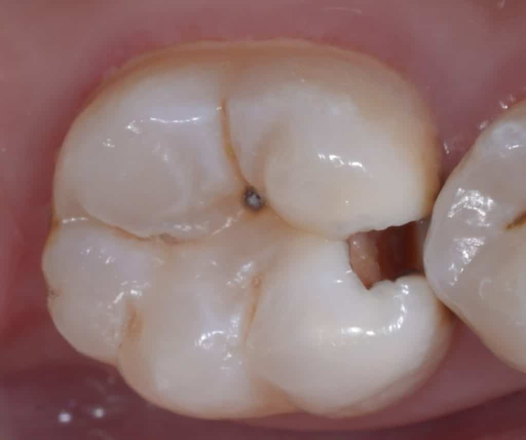
Nothing fancy , just a regular BRD protocols to treat this deeply carious tooth of a 16 years old Girl that guarantee the long term success of this restoration .
– CREs , PSZ achieved with CDD
– IDS with SE Bond + RC
– Ribbond to control the huge amount of this high c-factor situation
– EXP & EX Flow for dentin replacement
– Occlusal verticalization with 3 papers tech. + final finish & polish
#Get_Bonded #Stay_Bonded ✌🏻
#adhesivedentistry #overlay #rubberdam #rubberdamology #cadcam #Biomimetics #cadcamdentistry #immediatedentineseal #IDS #resincoat #ever_X #tokuyama #DME #optibondFL #Deep_margin_elevation #biobase #biomimeticstudyclub #dentalphotography
#restorativedentistry #aesthetic #aestheticdentistry #BRD #compositefilling #rubberdamfam #be.mimmetic
Share on: