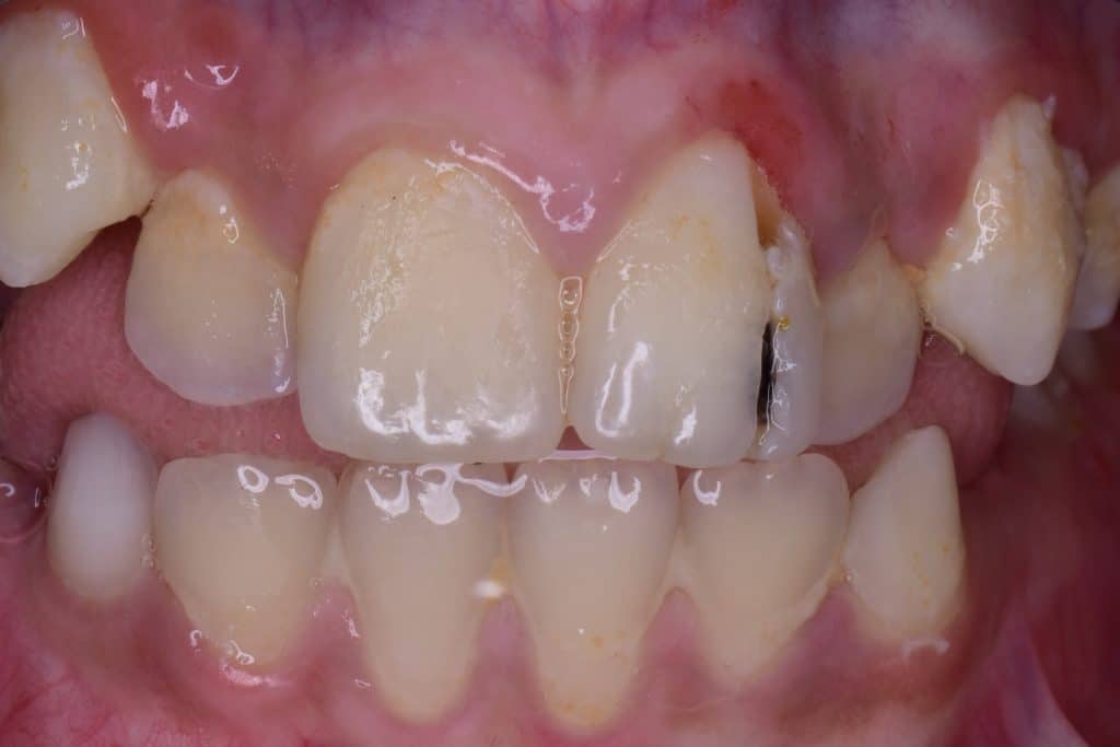
Anterior composite restorations present many aesthetic challenges to the clinician, and the difficulties increase with the size of the restoration. However, the quality of composite materials has advanced steadily in recent years, to the point that it is now more possible than ever to achieve excellent aesthetics, high strength and longevity with a composite resin restoration. A careful and precise technique is of course vital to the success of any clinical case, but the results that can be achieved with composite continue to grow more impressive.
Share on: