Pic´s Caption:
1,2.- Initial Situation: Patient comes to clinic worried about dental wear on the anterior teeth.
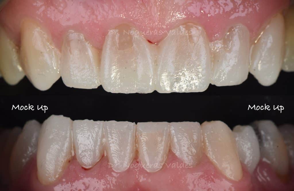
3.- Mock Up: After an aesthetic and functional analysis I decide to do a mock up to show the patient the treatment plan:
3.1: Tabletops (E- max) on posteriors teeth for increase the vertical dimension and create a correct envelope of function.
When we increase the DV the jaw go back and we can get enough space for our rehabilitation avoiding ceramic fractures.
3.2- E-max LT (Low Translucity) veneers on anterior teeth for create a new smile.
4.- We do the preparation with the mock up to preserve the tooth structure. It´s important to control the depth of preparation,
especially in additive cases.
5.- Minimally invasive preparation
6.- Color pre-treatment (A4 VITA) and final (A1 VITA).
7.- Provisional restaurations with bis acryl resin. It´s importante for me the polished in this phase. The gum health is a key
for a correct cementation of final restaurations, avoidin inflammation, bleedding or recessions.
8.- Final veneers
9- Pre treatment vs Final
Share on: