Except the cervical margin concavities that appear due to concavity extended from the root surface, In some other cases of DME (deep margin elevation) , the cervical margin not located in an equal level over the cervical third interproximally due to different caries progression in a particular points. as we know, the more cervically we go the lesser enamel thickness.that well produce irregular cervical margin thicker enamel above & thin enamel below or no obvious enamel at all.
The goal is to reproduce a smooth transition in order to form smooth emergence profile interproximally.done by reshaping the cervical margin to reduce the enamel equal with the deepest point, (straightening the margin)
20 years old male patient presented with caries lesion distally of tooth 45.. discomfort & slight pain in cold
it is obvious how the caries deep and the concavity start to appear
caries detective dye
as this irregularities due to different levels of progression of the caries over the cervical third .. the enamel lip buccally & lingually,but it damaged in the deepest part( blue arch)..so the idea is reducing or reshaping this enamel lips to get more straight and uniform margin (using needle bur)
the seal in deepest area achieved.. little gap lingually but it's not a problem.. it's reachable by finishing burs
IDS(immediate dentine sealing)+ RC(resin coating)+ then the deep margin elevated by AP-x flow..
glycerine applied to block the O2 and get rid of sticky O2 inhibited layer so that if any blood get over the cavity it will be easier to wash out by water+air
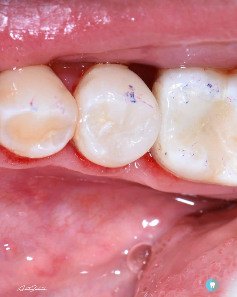
this is the hard part done..it is clear how the irregular gingival margin turned to straight elevated margin
finished + sandblasted surface..ready to receive Clearfil SE adhesive
gap !!
sealed
using another wave-wedge
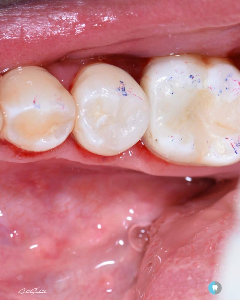
interproximal contact finished..the case turned to class one
glycerine
the contact
final result
Share on: