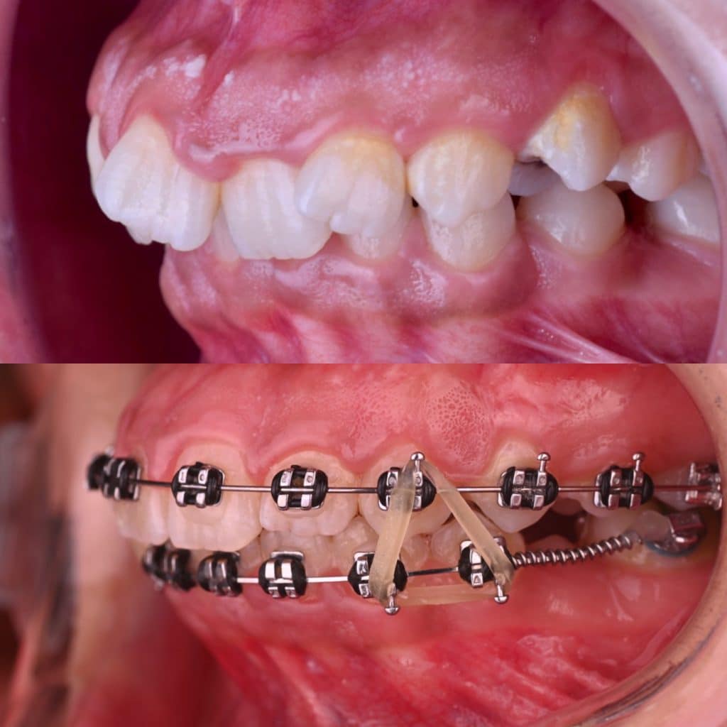
Pateint with 14 years old she is class II malocclusion due to small retruded mandible With sever crowding in upper jaw, sever deep bite and shift in upper and lower midline
Treatment plane:
Leveling and alignment without extraction
The patient profile has small lower jaw,The lower jaw has impacted lower right and left second premolars ,I make space for them by open coil and at same time we make protruding for lower jaw to make it class I with the upper jaw by use of heavy 3/16 size class 2 elastic and then use delta elastic to prevent any loss of vertical relationships
best regards
Share on: