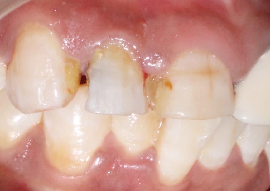
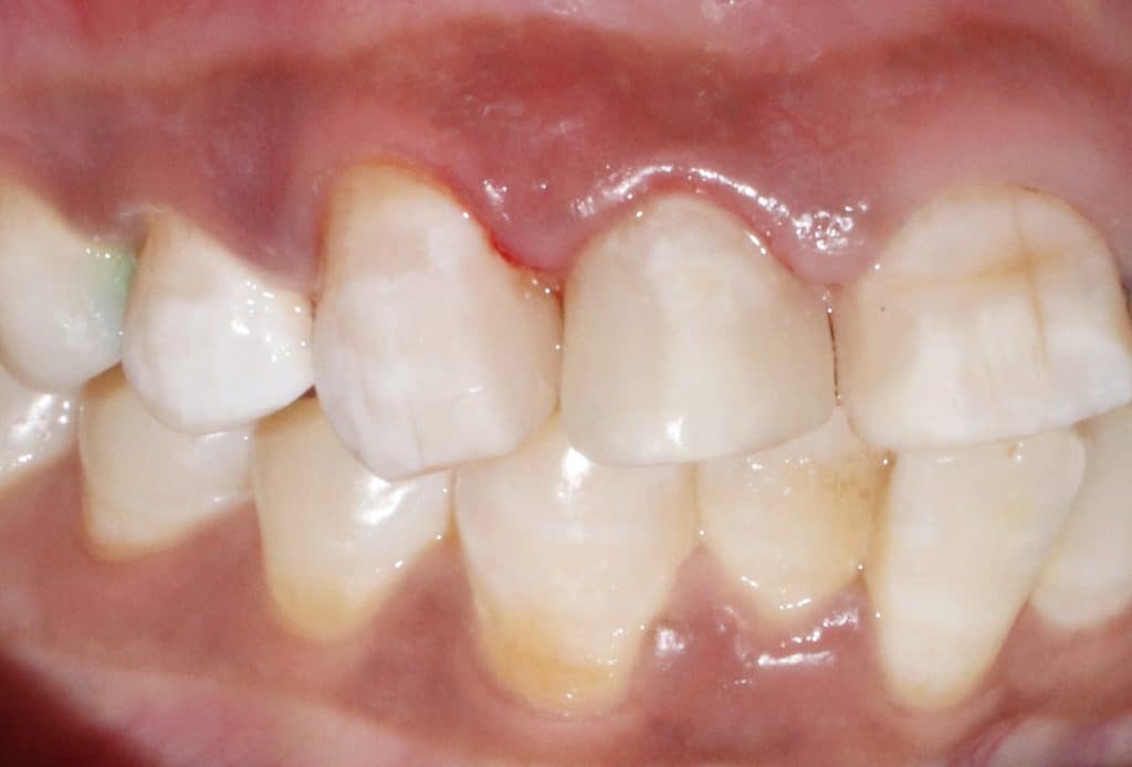
Dr. Urvashi Tanwar is an enthusiastic, passionate and career oriented individual. A gold medalist in her under graduation, she went on to pursue her masters in Conservative Dentistry and Endodontics where she ranked 2nd in the entire state of Karnataka. She has won various awards in national and international conferences and regularly writes for various dental magazines publishing her cases. She is trained in Biomimetic Dentistry and strives to save every tooth that comes her way to the best of her abilities.