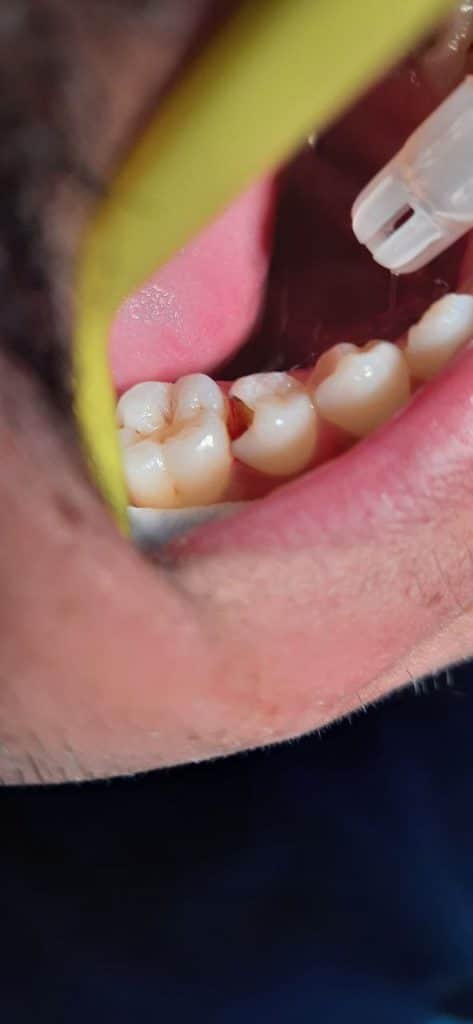
Patient 20 years has deep proximal cavity in lower second premolar lower 5 . And for preservation on this tooth , removed defect enamel and dentin until reach to clean dentin and preserved amount of thick dentin over the pulp area to prevent damage to the pulp then restored with the composite restoration.
Share on: