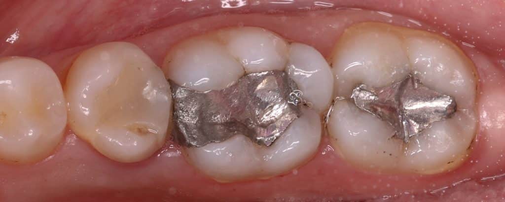
Composite fillings for lower 5, 6 & 7
patient came to my clinic complaining of food impaction and mild sensitivity
Surface treatment protocol as follows:
1. Sandblasting
2. Total etch
3. Chlorhexidine rinse
4. OptiBond FL primer
5. OptiBond FL adhesive.. 2 layers
6. Light cure for 20 – 40 seconds
7. Wait 5 minutes for the hybrid layer to mature
Done in two visits
My Instagram
Share on: