In 2004 Dr. Pawel Szuba-Paszkiewicz graduated with distinction from the Faculty of Dentistry at the Medical University in Wroclaw. As a student he started to obtain his professional experience in a dental practice run by his parents, which enabled him to gain invaluable practical knowledge and skills. The skills in question, turned out to be necessary and extremely motivating while dealing with difficult clinical cases. Since 2002 Dr. Paszkiewicz has participated in many professional courses, conferences and symposia which subjects were related to the latest trends in endodontics, prosthodontics and digital dentistry. As far as professional development is concerned, his skills also developed in collaboration with the prestigious dental clinics in Wroclaw (Poland).
Currently, Paul Szuba-Paszkiewicz with passion and precision carries out treatments of complex medical procedures in the field of CAD/CAM prosthetics, implant-prosthetics, full-mouth rehabilitations, and minimal-invasive aesthetic dentistry. A Consultant/Inventor/KOL for Carestream Dental, Dexis, Medit, Shining3D, DMG, Harvard Dental, Trate Implants, Imes/Icore, 3D Medical Systems, Cerkamed, Tokuyama Dental, Kuraray/Noritake and ModJaw. In a cooperation with OrangeDental and Cerkamed he conducts research on the use of photoactive disinfection (PAD) in the treatment of periodontal / periapical diseases. Nowadays his professional interest are focused on Digital Prosthetics and implantprosthetics with its complete digital workflow. He has put forward and implemented his own innovatory procedure of tissue retraction during digital prosthoetic procedures (DiaC-Traction - Diatherm-Guided Chemo-Mechanical Retraction), Endo-Resto Single Visit Chairside Restoring Workflow, as well as innovative fast and complex Smile Design&Delivering Protocol (SDDP), based on author’s „Photo-DFA” workflow in collaboration with TastyTech Canada (Smile Designer Pro manufacturer)
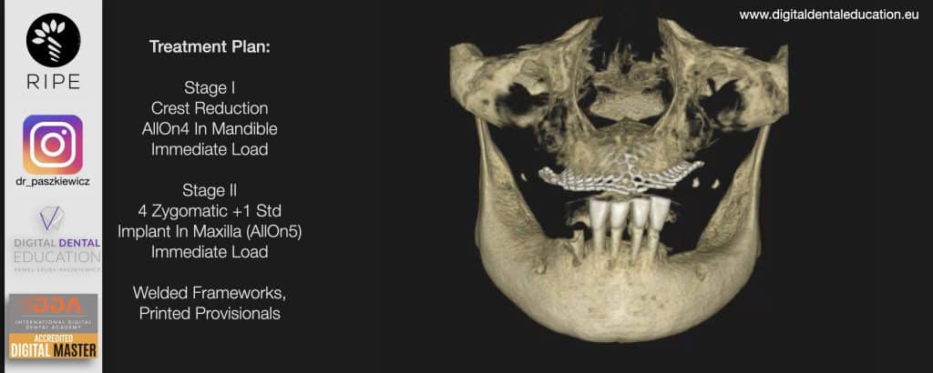
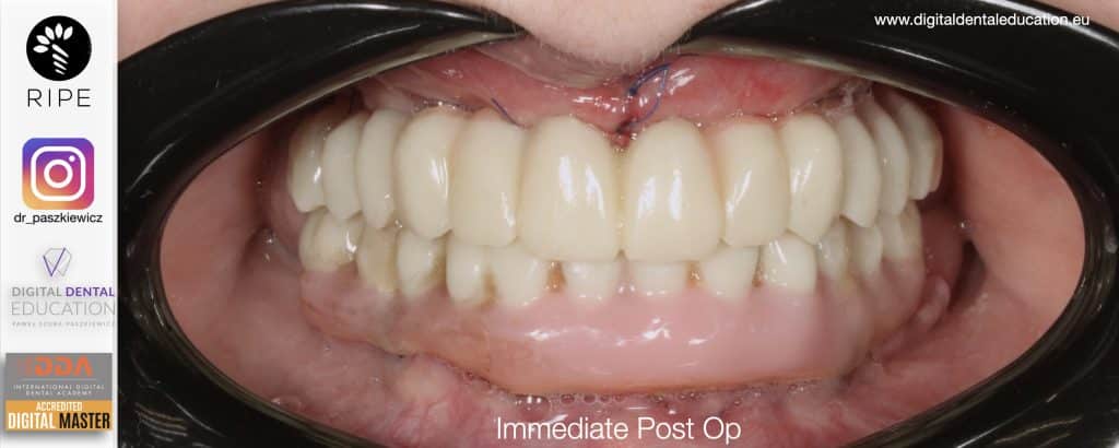
He has invented an AllonX non-impression protocol leading to final restorations post immediate implant full-arch loading, incorporated with desktop scanner (MEDIT) and ModJaw capturing of natural patient’s functional and mastication movements.
Together with ModJaw functional registration, he has created a non invasive protocol of hybrid restorations consisted of milled buccal veneers, combined with direct labial composite restorations in a protocol of full mouth rehabilitation.
A leading member of a Dental Masters Group.
Board/core member of an IDDA (International Digital Dental Academy)
Board member of Restoring Excellence Academy (RIPE)
Associate member of a PASE (Polish Academy of Esthetic Dentistry)
Apart from his work, he is a keen snowboarder and a guitar player.