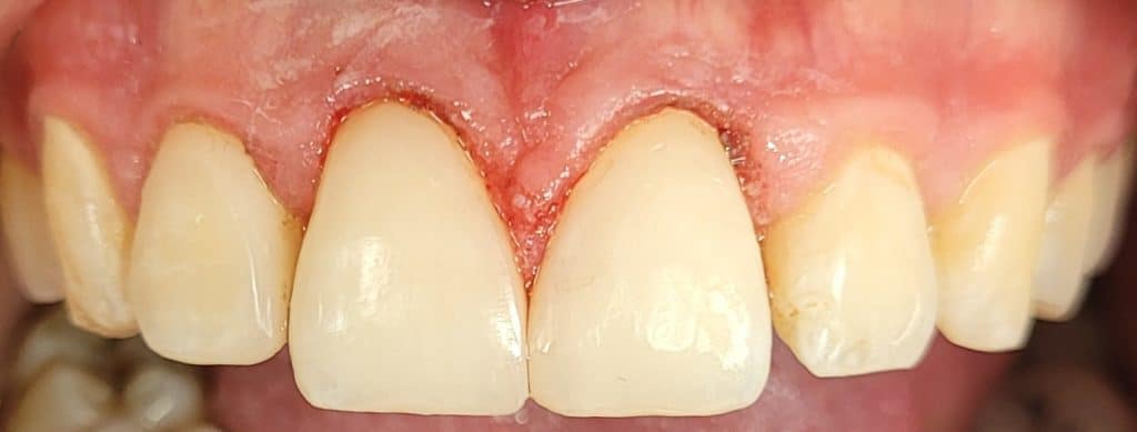
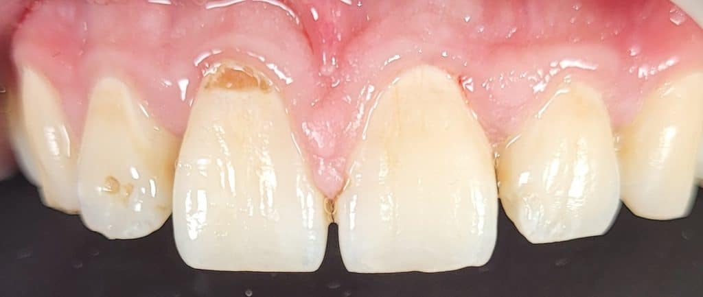
Merhabalar, bu sadece 11 nolu çürük şikayeti vardı. Ancak 11 in bukizasyonkal yine genel hipomineralizasyon, 12 nolu diste mine hipomineralizasyon, 21 nolu diste mezial duvarda çürük ve minede hipomineral vardır. Ben 3’ünü yeniden canlandırmak istedim. Hem yüzeydeki demineralize mineyi korumak hem de daha uzun ömürlü bir restorasyon yapmak için kompozit karar verdim. Bu arada diastemayi da kapattım.
Share on: