Happy new year to all
13 years old child attend to clinic because of trauma to his upper first central incisor
During diagnosis one of the most important step is to exclude root fracture , on periapical x ray root fracture not exist and the fracture not reach the pulp
Direct composite restoration done following the principles of modern adhesive dentistry, gold standard clearfil SE bond used , tokuyama composite for layering technique
Dental photography with Niko D5600
Light source: Ring flash Triopo
Hope you like it
🇮🇶🇮🇶
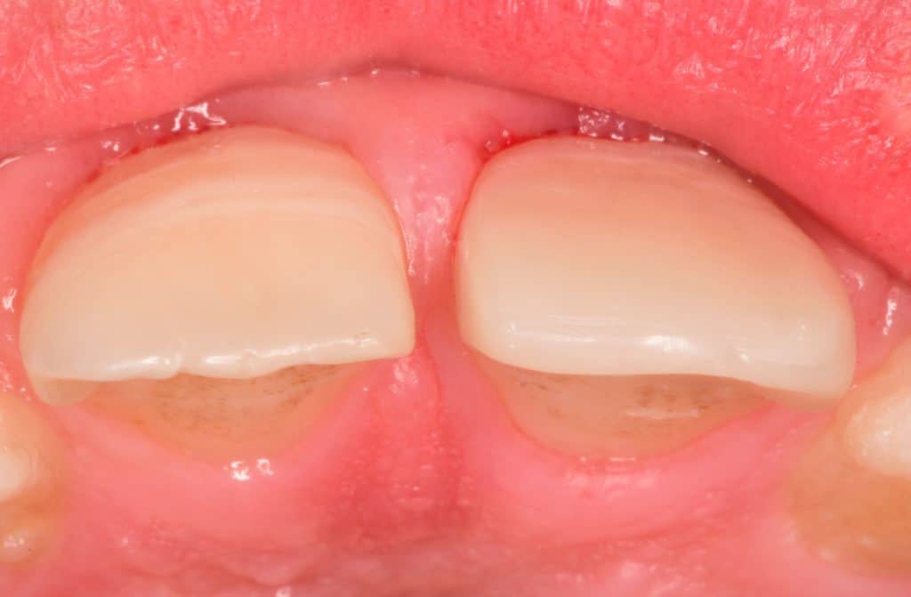
Initial situation
Incisal view showing that the trauma not reach the pulp
Simple way of shadeselection, this step repeated later after polishing the tooth from the stain
Isolation, sandblast, gold standard clearfil SE bond
Free hand palatal shell
Immediate result before final finishing and polishing
Immediate result
Immediate result before final finishing and polishing and after rubberdam removal
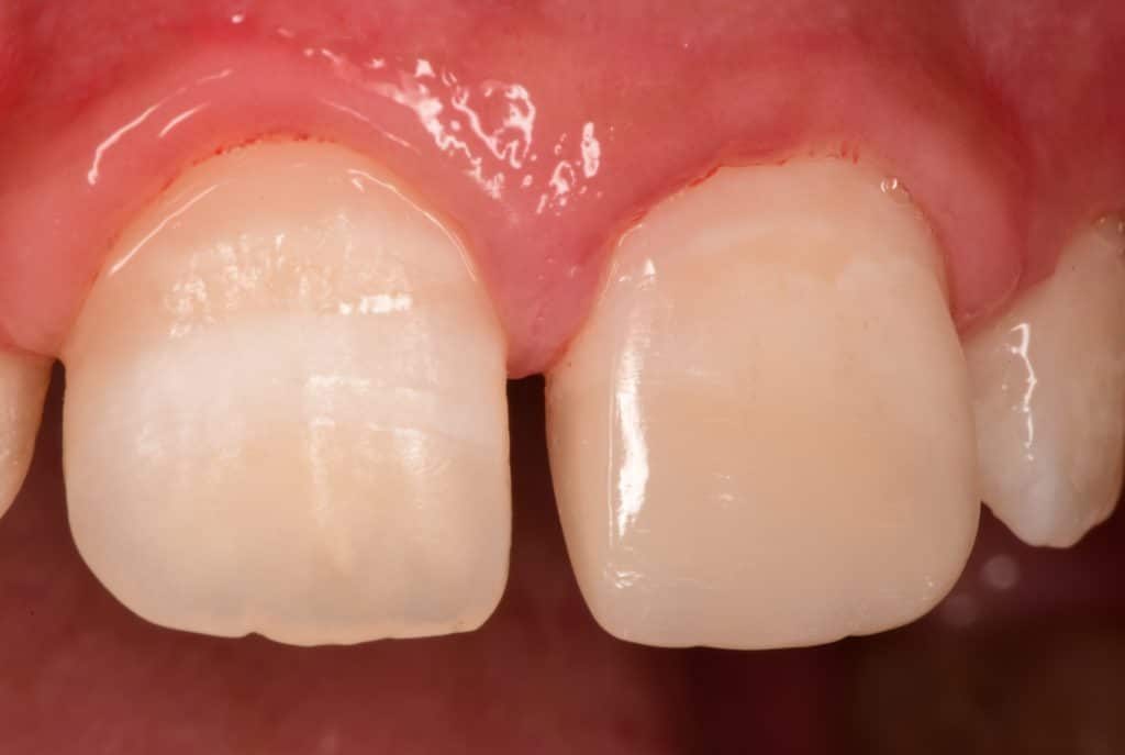
Final result after finishing and polishing
Another view showing the texture, primary and secondary anatomy
Lateral view
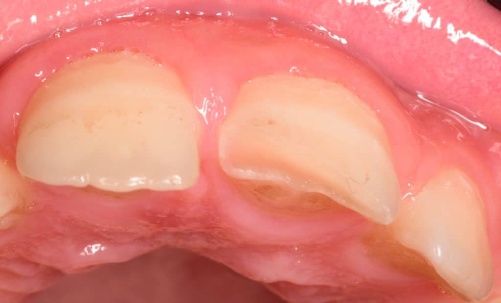
Incisal view, look to the symmetry
Another view
Before and after
Share on: