Brand Shofu Inc.
Material: Beautifil LS Composite (Enamel & Dentin shades), BeautiBond Universal, Finishing & Polishing Kit
Technique: Direct Anterior Composite Veneer – Layering Technique
After clinical examination and detailed history taking, vitality tests were positive. Periapical X-ray showed no periapical pathology.
Treatment was completed in one visit (approximately 2–3 hours).
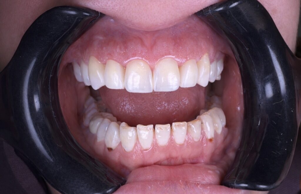
Isolation was achieved using rubber dam to ensure moisture control. Minimal enamel preparation was performed to preserve tooth structure, maintaining preparation within enamel. Surface was cleaned and lightly roughened using fine diamond bur, followed by selective enamel etching (37% phosphoric acid for 15–20 seconds).
After rinsing and gentle air drying, bonding agent (BeautiBond Universal) was applied and light cured according to manufacturer’s instructions.
A layering technique was used to mimic natural tooth anatomy:
- Dentin shade applied first to build internal anatomy and opacity
- Enamel shade layered to reproduce translucency and surface morphology
- Incisal halo and subtle characterization added when needed
Each increment was light cured separately.
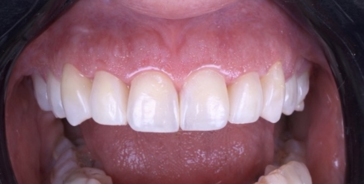
Final contouring was done using fine diamond burs and polishing discs to achieve natural texture, surface gloss, and proper line angles. Occlusion was checked in centric and excursive movements.
The final result provided improved esthetics, proper proportions, and natural light reflection while maintaining tooth vitality.
Share on: