Initial decay of upper teeth due to medication 💊 some of athletes and bodybuilder take (Methamphetamine) which have serious side effect on the teeth adisease called (Meth Mouth) thanks to God the patient come to clinic as far as he notice the changes on his teeth
The patient ask for restoring his teeth and he want a new smile with white teeth (as he sai literally) so i advise him to do indirect veneer but he can’t tolerate the cost of it so I decided to go with direct composite veneer
Details under each photo
Initial situation showing the
extent of the defects the beginning of Methamphetamine effect
Isolation
All defects removed, you can see the deep extensions of the defects even the proximal walls included
Final cavities , look to the extension of the decay
Step by step repair, upper central incisor then lateral and so on ..
Gold standard SE bond, tokuyama composite for enamel replacement
Immediate result
Immediate result
2 days later 🙏
After 2 days the patient came to complete the other teeth
Look to the extension of the defects
Cavity design
Occlusal view, look to the cavities
Immediate result
Immediate before final finishing and polishing
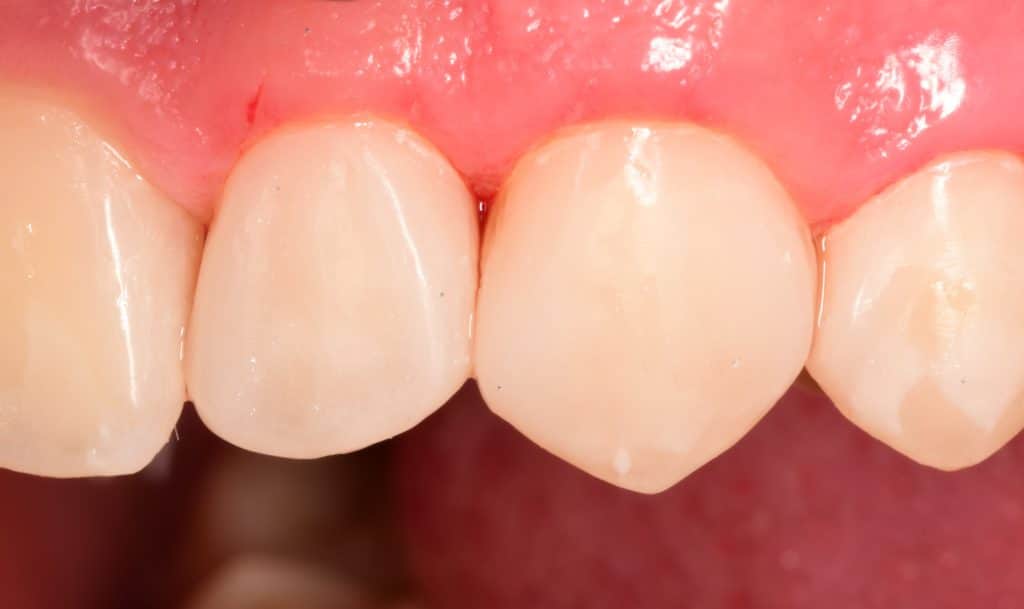
Final result
One of the best band I used in anterior restoration
Share on: