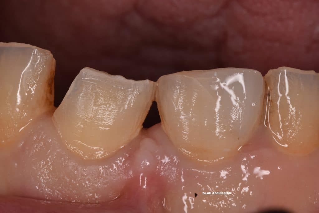
55 years old Diabetic pateint come to clinic asking for restoring her left central incisor ,so when I look for her centrals I offer her to fix them both not only the left central
She was old diabetic patient with gingival recession and orginal black triangle because of the recession so I just try to rebuild the centrals without the full aesthetic details
Initail
Rubber dam in place
Caries removal
Roughness to the labail surface
Palatal shell done free hand by using strip
Proximal walls by using proximal anterior strip
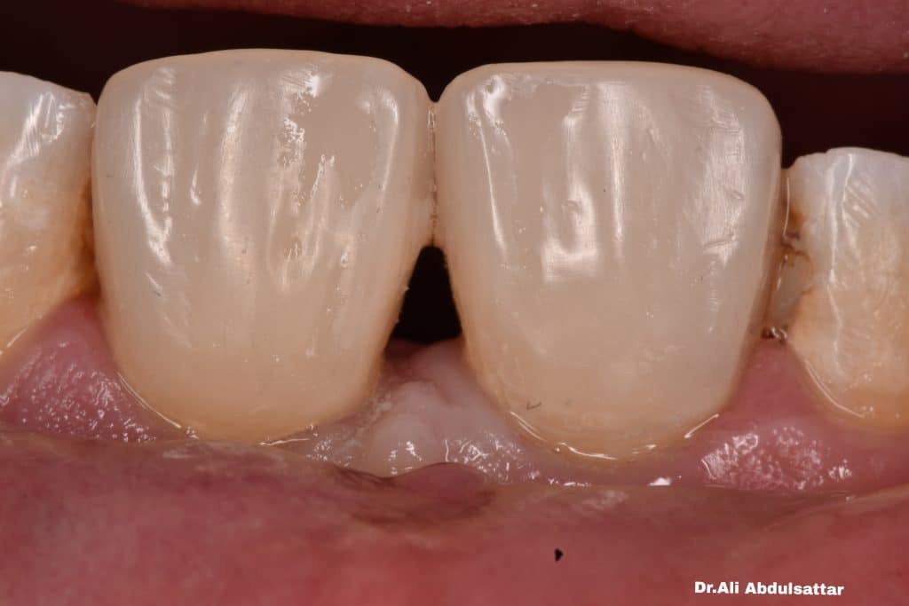
Immediat result
You may ask about black triangle ,as I said befor she was and old diabetic pateint with orginal black triangle due to gingival recession so the full aesthetic was not her demand she just asking to restor the left central and I offer to fix them both
Lateral view
After final polishing
Share on: