Usually I do selective caries removal but in this case the composite was directly put on the exposure by the other dentist ..
the patient came to my clinic with annoying sensitivity to cold ❄️ not lingering pain
Bioceramic putty as direct pulp capping
Surface treatment protocol as follows:
1. Sandblasting
2. Total etch
3. Chlorhexidine rinse
4. OptiBond FL primer
5. OptiBond FL adhesive.. 2 layers
6. Light cure for 20 – 40 seconds
7. Wait 5 minutes for the hybrid layer to mature
My Instagram:
https://www.instagram.com/dr.khalil.ibrahim?igsh=aGp2bjR3OWQ4OTFm
Initial situation
Rubber dam isolation
final cavity design
exposure
Direct pulp capping with bioceramic putty from AVALON NeoPUUTY
sectional band with a ring for tight contact
everX as dentin replacement
final finishing & polishing
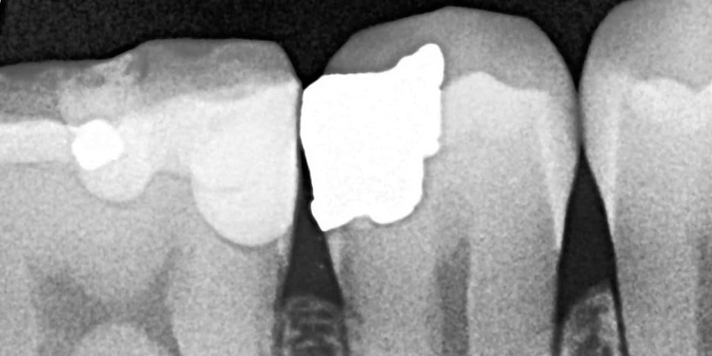
X Ray ... before
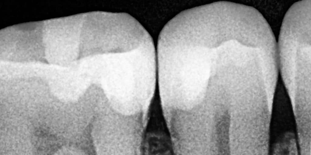
X Ray .... After
Share on: