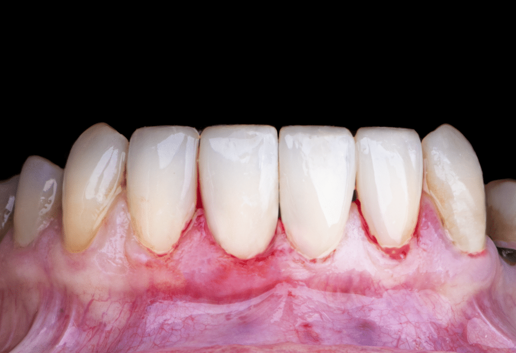
A case of multiple spaces closure for the lower anterior segment together with two (class V restorations) using the Direct Additive Approach of composite restorative materials. The case was completed in (two visits).
There are many protocols for such management. My favorite one for an inter-dental space closure is to complete and shape one tooth at a time before starting with the adjacent one. Dental Vernier caliper is very helpful in such cases for excellent space distribution between the two adjacent teeth to avoid one tooth became wider the other.
In my opinion, the key to prevent composite over-hange and to achieve optimum gingival health would be the good gingival retraction together with perfect celluloid strip adaptation to create a smooth and gradual transition of the composite emergence profile from sub- to supragingival interproximal areas ( i.e. mimicking the natural tooth interproximal profile). Also, good finishing and polishing interproximally is mandatory.
Share on: