Patient suffered from food accumulation near defective old restoration and sensitivity with hot & cold .
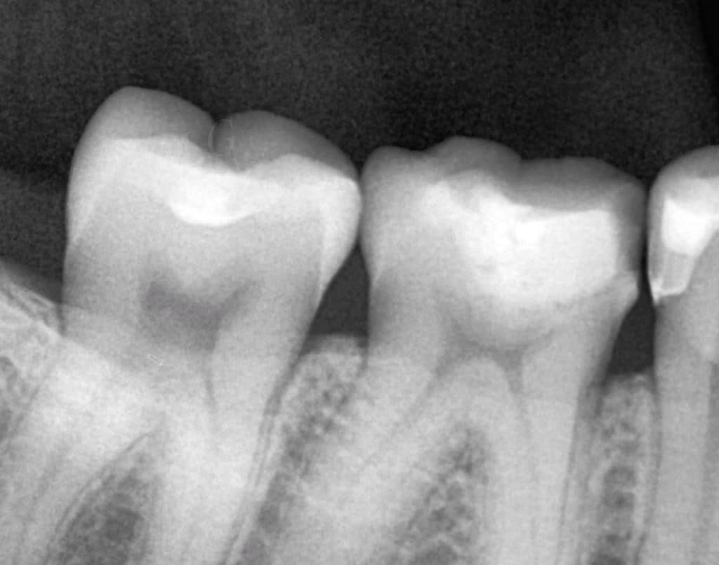
clinical examination revealed that old defective restoration and x ray showed recurrent caries under old restoration.
Before rubberdam isolation , occlusion prints recorded using articulating paper as a confirmative approach for post operative final restoration.
rubber dam isolation and start old restoration &caries removal
caire detector dye applied , peripheral seal zone obtained and then adhesive system applied .
matrix system applied used Garrison green ring after missed wall build up first .
Composite applied with cusp by cusp technique & occlusal anatomy done
after rubber dam removal , occlusion prints for occlusal adjustment
post operative x ray showing how sealed is the restoration & contour .
Share on: