The case presented below is for a 29-year-old male patient. He was suffering from a fracture and erosion in the anterior teeth due to eating too much lemon.
The treatment options for such case would be indirect restorative approach (i.e., which is the ideal treatment option), and the direct one. After discussing the treatment options, he chose the direct approach (composite veneer) because of financial purpose.
To improve the length/width ratio of the teeth, diagnostic study casts were made, and a wax-up of teeth was created according to a 2D smile design by me. After that, palatal silicone index was made.
The treatment steps were presented in the images below
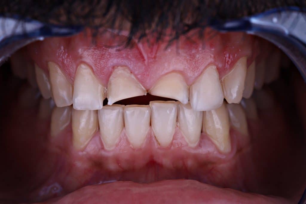
1-initial situation
Erosion two central incisor
2-Wax up done by me ,to get overview about outline and dimension between two central
3-Silicone index to build palatal shell
4-After rubber dam ,sandblast and acid etch
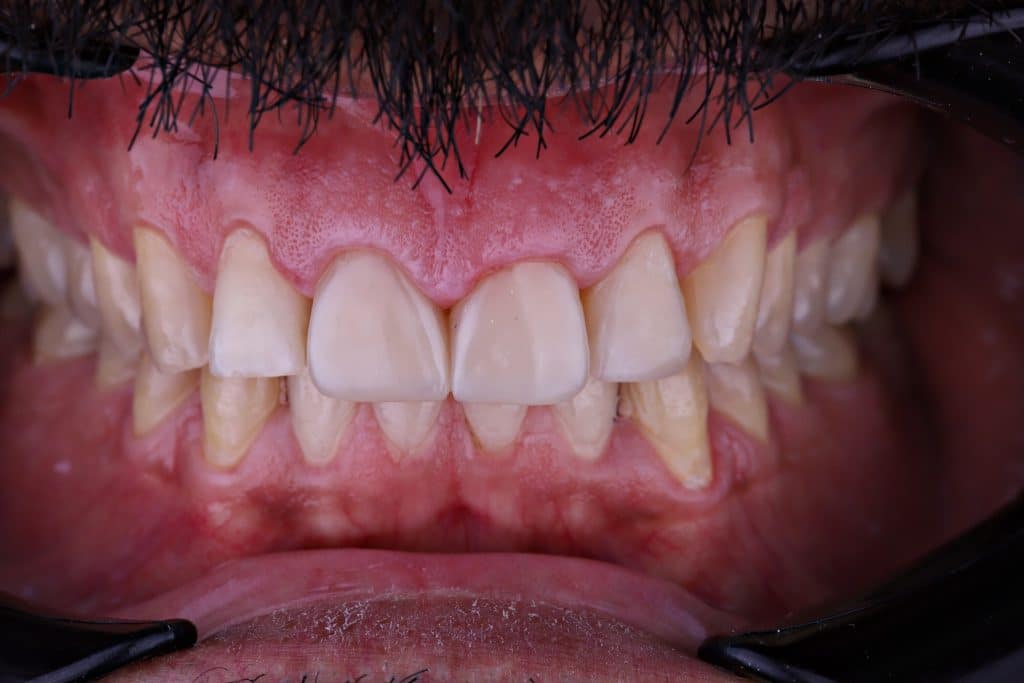
5-After 3 week follow up
initial situation
Erosion two central incisor
Study cast by stone
Wax up done by me ,to get overview about outline and dimension between two central
Silicone index to build palatal shell
After rubber dam ,sandblast and acid etch
Close up palatal shell
complete the layers
Immediate result
3 weeks recall
Nice smile
Lateral view pic
Share on: